Anti-Tyrosine Hydroxylase, clone TH-100

Anti-Tyrosine Hydroxylase, clone TH-100
Item number Size Datasheet Manual SDS Delivery time Quantity Price
NSJ-R30089 100 µg - -

3 - 10 business days*

790.00€
 
0.5mg/ml with 1% BSA and 0.01% sodium azide if reconstituted with 0.2ml sterile 1XPBS. Tyrosine... more
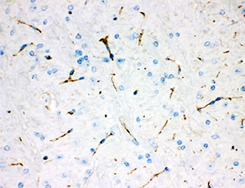
Product information "Anti-Tyrosine Hydroxylase, clone TH-100"
0.5mg/ml with 1% BSA and 0.01% sodium azide if reconstituted with 0.2ml sterile 1XPBS. Tyrosine hydroxylase (TH) is involved in the conversion of phenylalanine to dopamine. As the rate-limiting enzyme in the synthesis of catecholamines, TH has a key role in the physiology of adrenergic neurons. Human TH gene contains 13 primary exons and spans approximately 8 kb. Protein function: Plays an important role in the physiology of adrenergic neurons. [The UniProt Consortium]
Keywords: Anti-TH, Anti-TYH, EC=1.14.16.2, Anti-Tyrosine 3-hydroxylase, Anti-Tyrosine 3-monooxygenase, Tyrosine Hydroxylase Antibody
Supplier: NSJ Bioreagents
Supplier-Nr: R30089

Properties

Application: WB, IHC (paraffin), IF
Antibody Type: Monoclonal
Clone: TH-100
Conjugate: No
Host: Mouse
Species reactivity: human, rat, rabbit
Immunogen: Rat tyrosine hydroxylase was used as the immunogen for this Tyrosine Hydroxylase antibody.
Format: Purified

Handling & Safety

Storage: +4°C
Shipping: +4°C (International: +4°C)
Caution
Our products are for laboratory research use only: Not for administration to humans!
You will get a certificate here
or to request a certificate of analysis.
Read, write and discuss reviews... more
Customer review for "Anti-Tyrosine Hydroxylase, clone TH-100"
Write a review
or to review a product.
Viewed