Anti-TUBG1

Item number Size Datasheet Manual SDS Delivery time Quantity Price
ABS-KC-4035.50 50 µl - -

Request delivery time estimate

206.00€
ABS-KC-4035.100 100 µl - -

Request delivery time estimate

295.00€
 
Protein function: Tubulin is the major constituent of microtubules. The gamma chain is found at... more
Product information "Anti-TUBG1"
Protein function: Tubulin is the major constituent of microtubules. The gamma chain is found at microtubule organizing centers (MTOC) such as the spindle poles or the centrosome. Pericentriolar matrix component that regulates alpha/beta chain minus-end nucleation, centrosome duplication and spindle formation. [The UniProt Consortium]
Keywords: Anti-Tubulin gamma-1 chain, Anti-Gamma-1-tubulin, Anti-Gamma-tubulin complex component 1, Anti-GCP-1, TUBG1 Antibody
Supplier: Absea
Supplier-Nr: KC-4035

Properties

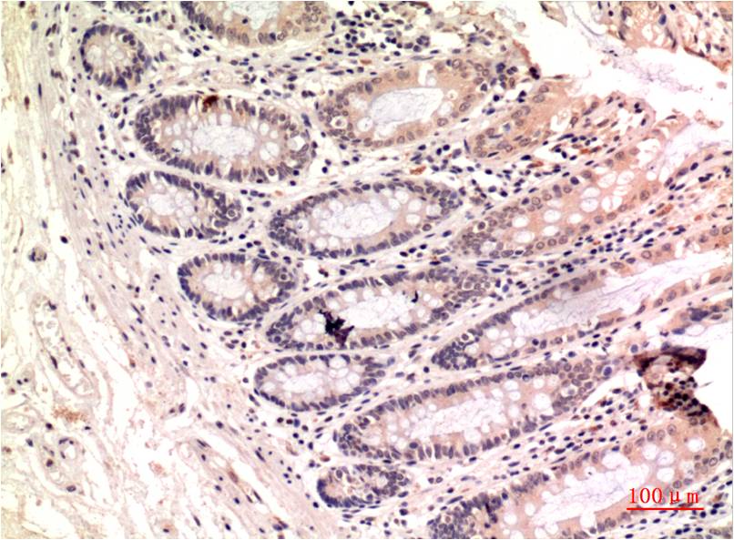
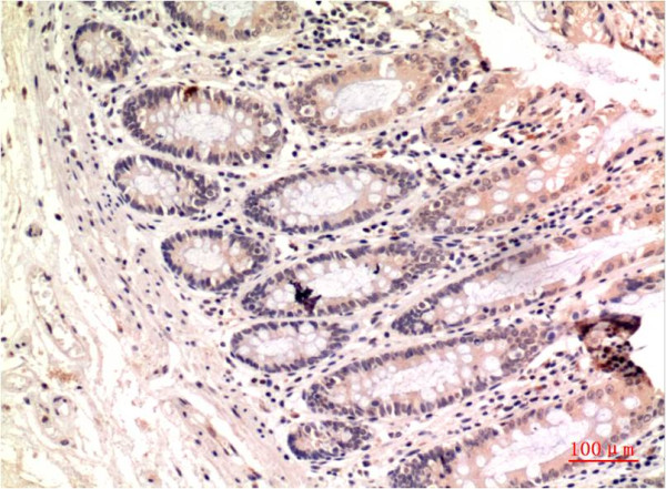
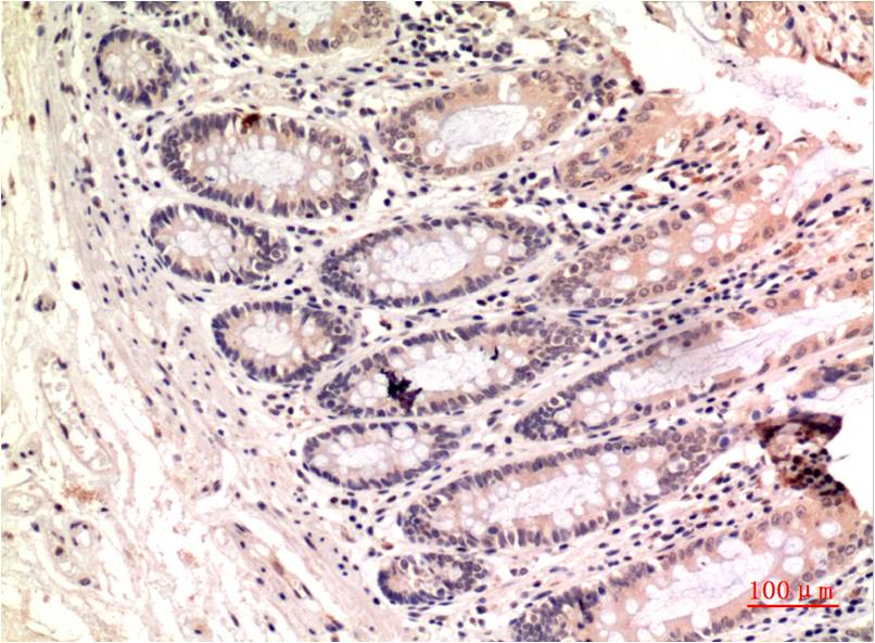
Application: IHC
Antibody Type: Monoclonal
Clone: 1J33
Conjugate: No
Host: Mouse
Species reactivity: human
Format: Solution

Handling & Safety

Storage: -20°C (avoid repeat freezing and thawing cycles)
Shipping: +4°C (International: +4°C)
Caution
Our products are for laboratory research use only: Not for administration to humans!
Information about the product reference will follow. more
You will get a certificate here
or to request a certificate of analysis.
Read, write and discuss reviews... more
Customer review for "Anti-TUBG1"
Write a review
or to review a product.
Viewed