Cookie preferences
This website uses cookies, which are necessary for the technical operation of the website and are always set. Other cookies, which increase the comfort when using this website, are used for direct advertising or to facilitate interaction with other websites and social networks, are only set with your consent.
Configuration
Technically required
These cookies are necessary for the basic functions of the shop.
"Allow all cookies" cookie
"Decline all cookies" cookie
CSRF token
Cookie preferences
Currency change
Customer-specific caching
FACT-Finder tracking
Individual prices
Selected shop
Session
Comfort functions
These cookies are used to make the shopping experience even more appealing, for example for the recognition of the visitor.
Note
Show the facebook fanpage in the right blod sidebar
Statistics & Tracking
Affiliate program
Conversion and usertracking via Google Tag Manager
Track device being used
| Item number | Size | Datasheet | Manual | SDS | Delivery time | Quantity | Price |
|---|---|---|---|---|---|---|---|
| NSJ-R31871 | 100 µg | - | - |
3 - 10 business days* |
790.00€
|
If you have any questions, please use our Contact Form.
You can also order by e-mail: info@biomol.com
Larger quantity required? Request bulk
You can also order by e-mail: info@biomol.com
Larger quantity required? Request bulk
0.5mg/ml if reconstituted with 0.2ml sterile DI water. Transthyretin (TTR) is also known as... more
Product information "Anti-TTR / Transthyretin / Prealbumin"
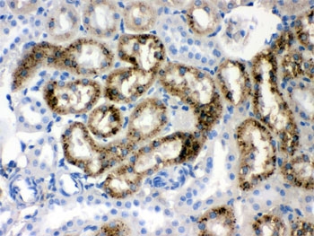
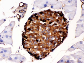
0.5mg/ml if reconstituted with 0.2ml sterile DI water. Transthyretin (TTR) is also known as prealbumin. It is mapped to chromosome region 18q11.2-q12.1. This gene encodes a carrier protein responsible for the transport of thyroid hormones and retinol. The protein consists of a tetramer of identical subunits. Due to increased stability of the tetramer form of this encoded protein in mouse, compared to the human protein, this gene product has a reduced tendency to form amyloid fibrils. In humans, this protein binds beta-amyloid preventing its aggregation and providing a neuroprotective role in Alzheimer's disease. Protein function: Thyroid hormone-binding protein. Probably transports thyroxine from the bloodstream to the brain. [The UniProt Consortium]
| Keywords: | Anti-Tt, Anti-Ttr, Anti-TBPA, Anti-Prealbumin, Anti-Transthyretin, TTR Antibody / Transthyretin / Prealbumin |
| Supplier: | NSJ Bioreagents |
| Supplier-Nr: | R31871 |
Properties
| Application: | WB, IHC (paraffin), IF |
| Antibody Type: | Polyclonal |
| Conjugate: | No |
| Host: | Rabbit |
| Species reactivity: | mouse, rat |
| Immunogen: | Amino acids 21-147 of rat Transthyretin |
| Format: | Purified |
Database Information
| KEGG ID : | K20731 | Matching products |
| UniProt ID : | P02767 | Matching products |
| Gene ID : | GeneID 24856 | Matching products |
Handling & Safety
| Storage: | +4°C |
| Shipping: | +4°C (International: +4°C) |
Caution
Our products are for laboratory research use only: Not for administration to humans!
Our products are for laboratory research use only: Not for administration to humans!
Information about the product reference will follow.
more
You will get a certificate here
Viewed