Cookie preferences
This website uses cookies, which are necessary for the technical operation of the website and are always set. Other cookies, which increase the comfort when using this website, are used for direct advertising or to facilitate interaction with other websites and social networks, are only set with your consent.
Configuration
Technically required
These cookies are necessary for the basic functions of the shop.
"Allow all cookies" cookie
"Decline all cookies" cookie
CSRF token
Cookie preferences
Currency change
Customer-specific caching
FACT-Finder tracking
Individual prices
Selected shop
Session
Comfort functions
These cookies are used to make the shopping experience even more appealing, for example for the recognition of the visitor.
Note
Show the facebook fanpage in the right blod sidebar
Statistics & Tracking
Affiliate program
Conversion and usertracking via Google Tag Manager
Track device being used
| Item number | Size | Datasheet | Manual | SDS | Delivery time | Quantity | Price |
|---|---|---|---|---|---|---|---|
| A301-059A-T | 10 µl (10 µg) | - |
2 - 8 business days* |
165.00€
|
|||
| A301-059A | 100 µl (100 µg) | - |
2 - 8 business days* |
586.00€
|
If you have any questions, please use our Contact Form.
You can also order by e-mail: info@biomol.com
Larger quantity required? Request bulk
You can also order by e-mail: info@biomol.com
Larger quantity required? Request bulk
Protein function: Acts as an E3 ubiquitin-protein ligase. Promotes SMAD4 ubiquitination, nuclear... more
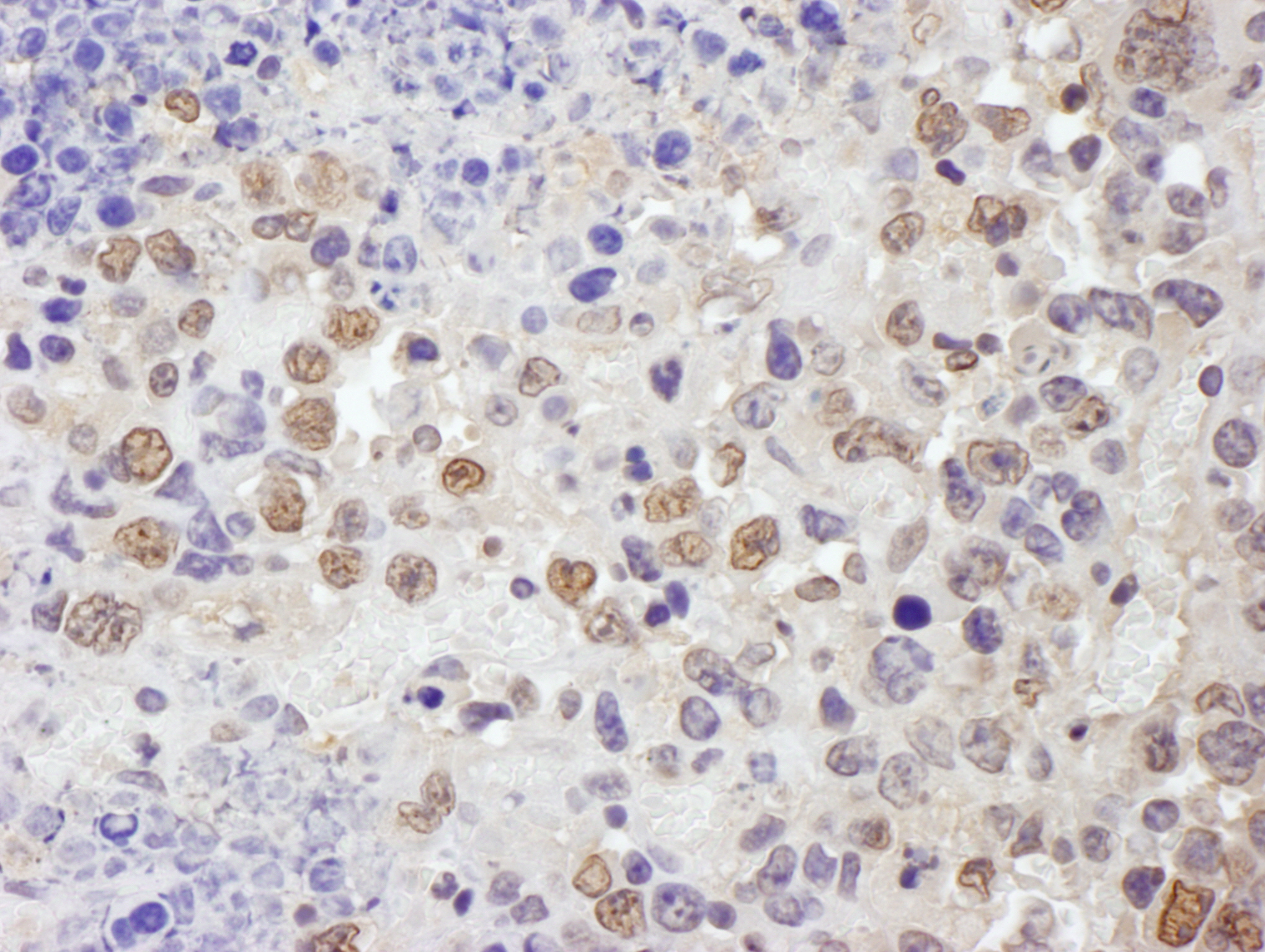
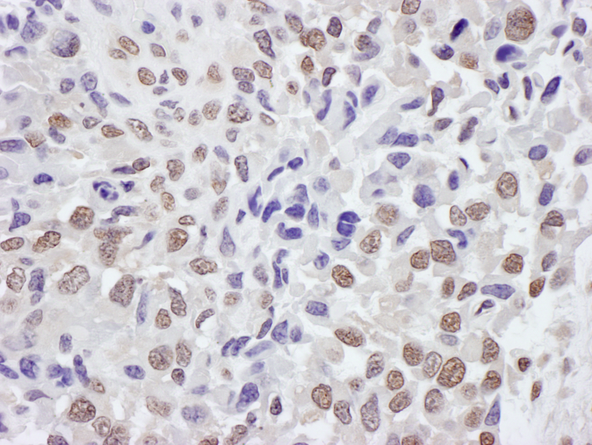
Product information "Anti-TRIM33/TIF1gamma"
Protein function: Acts as an E3 ubiquitin-protein ligase. Promotes SMAD4 ubiquitination, nuclear exclusion and degradation via the ubiquitin proteasome pathway. According to PubMed:16751102, does not promote a decrease in the level of endogenous SMAD4. May act as a transcriptional repressor. Inhibits the transcriptional response to TGF-beta/BMP signaling cascade. Plays a role in the control of cell proliferation. Its association with SMAD2 and SMAD3 stimulates erythroid differentiation of hematopoietic stem/progenitor. Monoubiquitinates SMAD4 and acts as an inhibitor of SMAD4-dependent TGF-beta/BMP signaling cascade (Monoubiquitination of SMAD4 hampers its ability to form a stable complex with activated SMAD2/3 resulting in inhibition of TGF- beta/BMP signaling cascade). [The UniProt Consortium]
| Keywords: | Anti-TRIM33, Anti-KIAA1113, Anti-TIF1-gamma, EC=6.3.2.-, Anti-Protein Rfg7, Anti-Ectodermin homolog, Anti-RET-fused gene 7 protein, Anti-E3 ubiquitin-protein ligase TRIM33, Anti-Tripartite motif-containing protein 33 |
| Supplier: | Bethyl Laboratories |
| Supplier-Nr: | A301-059A |
Properties
| Application: | WB, IP, IHC |
| Antibody Type: | Polyclonal |
| Conjugate: | No |
| Host: | Rabbit |
| Species reactivity: | human, mouse (Expected: X. laevis) |
| Immunogen: | synthetic peptide. The epitope recognized by A301-059A-T maps to a region between residue 650 and 700 of human tripartite motif-containing 33 (transcriptional intermediary factor 1 gamma) using the numbering given in entry NP_056990.3 (GeneID 51592). |
| Format: | Antigen Affinity Purified |
Database Information
| KEGG ID : | K08883 | Matching products |
| UniProt ID : | Q9UPN9 | Matching products |
| Gene ID : | GeneID 51592 | Matching products |
Handling & Safety
| Storage: | +4°C |
| Shipping: | +4°C (International: +4°C) |
Caution
Our products are for laboratory research use only: Not for administration to humans!
Our products are for laboratory research use only: Not for administration to humans!
Information about the product reference will follow.
more
You will get a certificate here
Viewed