Cookie preferences
This website uses cookies, which are necessary for the technical operation of the website and are always set. Other cookies, which increase the comfort when using this website, are used for direct advertising or to facilitate interaction with other websites and social networks, are only set with your consent.
Configuration
Technically required
These cookies are necessary for the basic functions of the shop.
"Allow all cookies" cookie
"Decline all cookies" cookie
CSRF token
Cookie preferences
Currency change
Customer-specific caching
FACT-Finder tracking
Individual prices
Selected shop
Session
Comfort functions
These cookies are used to make the shopping experience even more appealing, for example for the recognition of the visitor.
Note
Show the facebook fanpage in the right blod sidebar
Statistics & Tracking
Affiliate program
Conversion and usertracking via Google Tag Manager
Track device being used
| Item number | Size | Datasheet | Manual | SDS | Delivery time | Quantity | Price |
|---|---|---|---|---|---|---|---|
| NSJ-R31646 | 100 µg | - | - |
3 - 10 business days* |
790.00€
|
If you have any questions, please use our Contact Form.
You can also order by e-mail: info@biomol.com
Larger quantity required? Request bulk
You can also order by e-mail: info@biomol.com
Larger quantity required? Request bulk
0.5mg/ml if reconstituted with 0.2ml sterile DI water. Transferrin receptor protein 1 (TfR1),... more
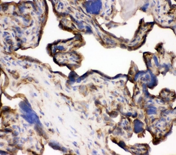
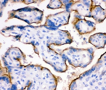
Product information "Anti-Transferrin Receptor"
0.5mg/ml if reconstituted with 0.2ml sterile DI water. Transferrin receptor protein 1 (TfR1), also known as Cluster of Differentiation 71 (CD71), is a protein that in humans is encoded by the TFRC gene. It is mapped to 3q29. TFRC is a transmembrane glycoprotein composed of two disulfide-linked monomers joined by two disulfide bonds. Expression of human TfR1 in hamster cell lines markedly enhanced the infection of viruses pseudotyped with the glycoprotein of Machupo, Guanarito, and Junin viruses. TfR1 is a cellular receptor for New World hemorrhagic fever arenaviruses. It is required for iron delivery from transferrin to cells. Protein function: Cellular uptake of iron occurs via receptor-mediated endocytosis of ligand-occupied transferrin receptor into specialized endosomes (PubMed:26214738). Endosomal acidification leads to iron release. The apotransferrin-receptor complex is then recycled to the cell surface with a return to neutral pH and the concomitant loss of affinity of apotransferrin for its receptor. Transferrin receptor is necessary for development of erythrocytes and the nervous system. A second ligand, the heditary hemochromatosis protein HFE, competes for binding with transferrin for an overlapping C-terminal binding site. Positively regulates T and B cell proliferation through iron uptake (PubMed:26642240). Acts as a lipid sensor that regulates mitochondrial fusion by regulating activation of the JNK pathway (PubMed:26214738). When dietary levels of stearate (C18:0) are low, promotes activation of the JNK pathway, resulting in HUWE1-mediated ubiquitination and subsequent degradation of the mitofusin MFN2 and inhibition of mitochondrial fusion (PubMed:26214738). When dietary levels of stearate (C18:0) are high, TFRC stearoylation inhibits activation of the JNK pathway and thus degradation of the mitofusin MFN2 (PubMed:26214738). [The UniProt Consortium]
| Keywords: | Anti-TFRC, Transferrin Receptor Antibody |
| Supplier: | NSJ Bioreagents |
| Supplier-Nr: | R31646 |
Properties
| Application: | WB, IHC (paraffin), (IF), IF, FC |
| Antibody Type: | Polyclonal |
| Conjugate: | No |
| Host: | Rabbit |
| Species reactivity: | human, mouse, rat |
| Immunogen: | Human partial recombinant protein (AA 1-198) |
| Format: | Purified |
Database Information
| KEGG ID : | K06503 | Matching products |
| UniProt ID : | P02786 | Matching products |
| Gene ID : | GeneID 7037 | Matching products |
Handling & Safety
| Storage: | +4°C |
| Shipping: | +4°C (International: +4°C) |
Caution
Our products are for laboratory research use only: Not for administration to humans!
Our products are for laboratory research use only: Not for administration to humans!
Information about the product reference will follow.
more
You will get a certificate here
Viewed