Cookie preferences
This website uses cookies, which are necessary for the technical operation of the website and are always set. Other cookies, which increase the comfort when using this website, are used for direct advertising or to facilitate interaction with other websites and social networks, are only set with your consent.
Configuration
Technically required
These cookies are necessary for the basic functions of the shop.
"Allow all cookies" cookie
"Decline all cookies" cookie
CSRF token
Cookie preferences
Currency change
Customer-specific caching
FACT-Finder tracking
Individual prices
Selected shop
Session
Comfort functions
These cookies are used to make the shopping experience even more appealing, for example for the recognition of the visitor.
Note
Show the facebook fanpage in the right blod sidebar
Statistics & Tracking
Affiliate program
Conversion and usertracking via Google Tag Manager
Track device being used
| Item number | Size | Datasheet | Manual | SDS | Delivery time | Quantity | Price |
|---|---|---|---|---|---|---|---|
| NSJ-RQ8946 | 100 µl | - | - |
3 - 10 business days* |
790.00€
|
If you have any questions, please use our Contact Form.
You can also order by e-mail: info@biomol.com
Larger quantity required? Request bulk
You can also order by e-mail: info@biomol.com
Larger quantity required? Request bulk
Antibody in PBS with 0.02% sodium azide, 50% glycerol and 0.4-0.5mg/ml BSA. TRAIL R4 antibody is... more
Product information "Anti-TRAIL-R4 / TNFRSF10D / TRUNDD, clone 23T76"
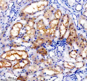
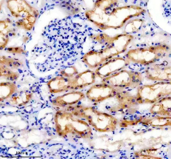
Antibody in PBS with 0.02% sodium azide, 50% glycerol and 0.4-0.5mg/ml BSA. TRAIL R4 antibody is a useful reagent for investigating apoptosis, immune regulation, and cancer biology. The encoded protein, TNFRSF10D (also known as TRUNDD or TRAIL receptor 4), is a member of the tumor necrosis factor receptor superfamily. Unlike TRAIL receptors that signal apoptosis, TRAIL R4 lacks a functional death domain and instead acts as a decoy receptor for TRAIL (TNF related apoptosis inducing ligand). By binding TRAIL without transmitting apoptotic signals, TNFRSF10D protects cells from TRAIL mediated cell death and modulates sensitivity to immune surveillance.TRAIL R4 is expressed in a variety of tissues and cell types, including immune cells and epithelial cells. Its expression pattern suggests a role in maintaining tissue homeostasis by preventing inappropriate activation of apoptosis. In addition, TRAIL R4 has been shown to activate pro survival pathways such as NF kappa B and PI3K Akt signaling, further supporting its function as a regulator of cell fate. These properties distinguish it from TRAIL receptors DR4 and DR5, which contain functional death domains and induce apoptosis.Research has linked TNFRSF10D to tumor biology. Overexpression of TRAIL R4 in cancer cells provides resistance to TRAIL mediated killing, allowing malignant cells to evade immune destruction. This mechanism contributes to tumor progression and therapeutic resistance in cancers such as colon, breast, and lung carcinoma. Because of this protective effect, TRAIL R4 is studied as both a biomarker and a potential target for overcoming resistance in TRAIL based therapies. Its role in modulating survival pathways also makes it relevant in studies of inflammation and immune regulation.At the molecular level, TRAIL R4 contains extracellular cysteine rich domains typical of TNF receptors but a truncated intracellular domain that lacks apoptotic signaling capacity. This structure enables it to compete with death inducing TRAIL receptors for ligand binding, thereby controlling the balance between apoptosis and survival. Functional studies indicate that TRAIL R4 can redirect TRAIL signaling toward non apoptotic outcomes, influencing proliferation and inflammatory responses.The TRAIL R4 antibody is widely used in western blotting, immunohistochemistry, immunofluorescence, and flow cytometry to measure protein expression and localization. These applications are critical for cancer research, apoptosis studies, and immune regulation. For scientists exploring tumor immune evasion, cytokine receptor signaling, or therapeutic interventions, the TRAIL R4 antibody provides a reliable detection tool. NSJ Bioreagents supplies validated antibodies that ensure reproducibility and accuracy in advanced molecular studies.
| Keywords: | Anti-TNFRSF10D, Anti-Decoy receptor 2, Anti-TRAIL receptor with a truncated death domain, Anti-TNF-related apoptosis-inducing ligand receptor 4, Anti-Tumor necrosis factor receptor superfamily member 10D, TRAIL-R4 Antibody / TNFRSF10D / TRUNDD |
| Supplier: | NSJ Bioreagents |
| Supplier-Nr: | RQ8946 |
Properties
| Application: | WB, IHC (paraffin) |
| Antibody Type: | Monoclonal |
| Clone: | 23T76 |
| Conjugate: | No |
| Host: | Rabbit |
| Species reactivity: | human, mouse |
| Immunogen: | A synthetic peptide specific to TNFRSF10D protein |
| Format: | Purified |
Database Information
| KEGG ID : | K22702 | Matching products |
| UniProt ID : | Q9UBN6 | Matching products |
| Gene ID : | GeneID 8793 | Matching products |
Handling & Safety
| Storage: | -20°C |
| Shipping: | -20°C (International: -20°C) |
Caution
Our products are for laboratory research use only: Not for administration to humans!
Our products are for laboratory research use only: Not for administration to humans!
Information about the product reference will follow.
more
You will get a certificate here
Viewed