Cookie preferences
This website uses cookies, which are necessary for the technical operation of the website and are always set. Other cookies, which increase the comfort when using this website, are used for direct advertising or to facilitate interaction with other websites and social networks, are only set with your consent.
Configuration
Technically required
These cookies are necessary for the basic functions of the shop.
"Allow all cookies" cookie
"Decline all cookies" cookie
CSRF token
Cookie preferences
Currency change
Customer-specific caching
FACT-Finder tracking
Individual prices
Selected shop
Session
Comfort functions
These cookies are used to make the shopping experience even more appealing, for example for the recognition of the visitor.
Note
Show the facebook fanpage in the right blod sidebar
Statistics & Tracking
Affiliate program
Conversion and usertracking via Google Tag Manager
Track device being used
| Item number | Size | Datasheet | Manual | SDS | Delivery time | Quantity | Price |
|---|---|---|---|---|---|---|---|
| NSJ-FY12294 | 100 µg | - | - |
3 - 10 business days* |
790.00€
|
If you have any questions, please use our Contact Form.
You can also order by e-mail: info@biomol.com
Larger quantity required? Request bulk
You can also order by e-mail: info@biomol.com
Larger quantity required? Request bulk
Adding 0.2 ml of distilled water will yield a concentration of 500 ug/ml. TNFAIP2 antibody... more
Product information "Anti-TNFAIP2 / Tumor necrosis factor alpha-induced protein 2"
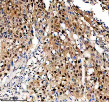
Adding 0.2 ml of distilled water will yield a concentration of 500 ug/ml. TNFAIP2 antibody detects Tumor necrosis factor alpha-induced protein 2, encoded by the TNFAIP2 gene on chromosome 14q32.33. TNFAIP2 antibody is widely used in studies of inflammation, immune signaling, and cancer biology. TNFAIP2 is a cytoplasmic and membrane-associated protein strongly induced by TNF-alpha, IL-1, and NF-kappaB signaling. It contributes to vesicle trafficking, endothelial cell function, and tumor progression, reflecting its broad roles in immunity and disease.Structurally, TNFAIP2 is a ~73 kDa protein with coiled-coil regions and proline-rich motifs that mediate interactions with cytoskeletal proteins and membrane trafficking machinery. It localizes to filopodia, lamellipodia, and endosomal membranes. Through these domains, TNFAIP2 regulates cytoskeletal remodeling and exosome release.Functionally, TNFAIP2 supports endothelial cell migration, tube formation, and angiogenesis. It is a critical factor in immune cell adhesion and transmigration across vascular barriers. In cancer, TNFAIP2 promotes tumor growth, invasion, and metastasis partly by regulating exosome biogenesis and secretion of pro-tumorigenic factors. Researchers use TNFAIP2 antibody to study immune responses, inflammation, and cancer progression.Clinically, TNFAIP2 is implicated in nasopharyngeal carcinoma, glioma, and other cancers. Elevated expression correlates with poor prognosis, invasive potential, and chemoresistance. TNFAIP2 is also linked to inflammatory vascular diseases and sepsis, where it modulates leukocyte-endothelial interactions. Because of its role in exosome release, TNFAIP2 is being explored as a therapeutic target in oncology. NSJ Bioreagents provides TNFAIP2 antibody to support research in immunology, oncology, and translational biology.Experimentally, TNFAIP2 antibody is applied in western blotting to detect the ~73 kDa protein, in immunofluorescence to visualize filopodial localization, and in immunohistochemistry to analyze tumor expression. Co-immunoprecipitation with TNFAIP2 antibody helps identify vesicle trafficking partners.
| Keywords: | Anti-TNFAIP2, Anti-Primary response gene B94 protein, Anti-Tumor necrosis factor alpha-induced protein 2, TNFAIP2 Antibody / Tumor necrosis factor alpha-induced protein 2 |
| Supplier: | NSJ Bioreagents |
| Supplier-Nr: | FY12294 |
Properties
| Application: | WB, IHC, IF, FC, ELISA |
| Antibody Type: | Polyclonal |
| Conjugate: | No |
| Host: | Rabbit |
| Species reactivity: | human, mouse, rat |
| Immunogen: | E.coli-derived human TNFAIP2 recombinant protein (Position: L187-K609) |
| Format: | Purified |
Database Information
| KEGG ID : | K19989 | Matching products |
| UniProt ID : | Q03169 | Matching products |
| Gene ID : | GeneID 7127 | Matching products |
Handling & Safety
| Storage: | +4°C |
| Shipping: | +4°C (International: +4°C) |
Caution
Our products are for laboratory research use only: Not for administration to humans!
Our products are for laboratory research use only: Not for administration to humans!
Information about the product reference will follow.
more
You will get a certificate here
Viewed