Cookie preferences
This website uses cookies, which are necessary for the technical operation of the website and are always set. Other cookies, which increase the comfort when using this website, are used for direct advertising or to facilitate interaction with other websites and social networks, are only set with your consent.
Configuration
Technically required
These cookies are necessary for the basic functions of the shop.
"Allow all cookies" cookie
"Decline all cookies" cookie
CSRF token
Cookie preferences
Currency change
Customer-specific caching
FACT-Finder tracking
Individual prices
Selected shop
Session
Comfort functions
These cookies are used to make the shopping experience even more appealing, for example for the recognition of the visitor.
Note
Show the facebook fanpage in the right blod sidebar
Statistics & Tracking
Affiliate program
Conversion and usertracking via Google Tag Manager
Track device being used
| Item number | Size | Datasheet | Manual | SDS | Delivery time | Quantity | Price |
|---|---|---|---|---|---|---|---|
| A303-545A-T | 10 µl (10 µg) | - |
2 - 8 business days* |
165.00€
|
|||
| A303-545A | 100 µl (100 µg) | - |
2 - 8 business days* |
586.00€
|
If you have any questions, please use our Contact Form.
You can also order by e-mail: info@biomol.com
Larger quantity required? Request bulk
You can also order by e-mail: info@biomol.com
Larger quantity required? Request bulk
Protein function: Transcriptional corepressor that binds to a number of transcription factors.... more
Product information "Anti-TLE1"
Protein function: Transcriptional corepressor that binds to a number of transcription factors. Inhibits NF-kappa-B-regulated gene expression. Inhibits the transcriptional activation mediated by FOXA2, and by CTNNB1 and TCF family members in Wnt signaling. The effects of full-length TLE family members may be modulated by association with dominant-negative AES. Unusual function as coactivator for ESRRG. [The UniProt Consortium]
| Keywords: | Anti-TLE1, Anti-ESG1, Anti-E(Sp1) homolog, Anti-Transducin-like enhancer protein 1, Anti-Enhancer of split groucho-like protein 1 |
| Supplier: | Bethyl Laboratories |
| Supplier-Nr: | A303-545A |
Properties
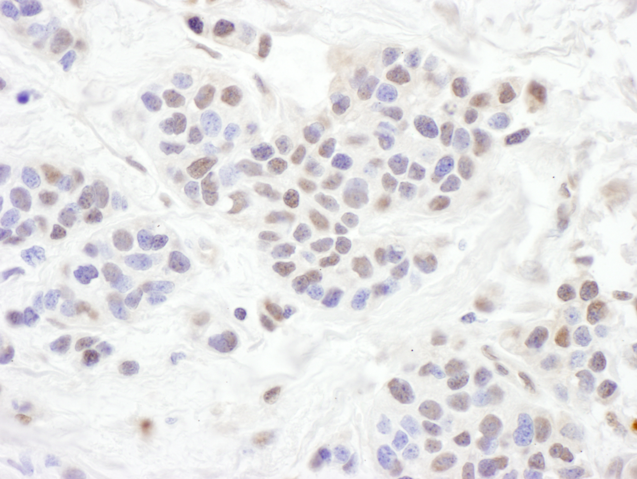
| Application: | WB, IP, IHC |
| Antibody Type: | Polyclonal |
| Conjugate: | No |
| Host: | Rabbit |
| Species reactivity: | human (Expected: mouse, rat, bovine, horse, guinea pig_10141, pig, orangutan, rhesus monkey, gorilla, chimpanzee, tasmanian devil, white-tufted-ear marmoset, european domestic ferret, african elephant, northern white-cheeked gibbon) |
| Immunogen: | synthetic peptide. The epitope recognized by A303-545A-T maps to a region between residue 175 and 225 of human Transducin-like Enhancer of Split 1 using the numbering given in entry NP_005068.2 (GeneID 7088). |
| Format: | Antigen Affinity Purified |
Database Information
| KEGG ID : | K04497 | Matching products |
| UniProt ID : | Q04724 | Matching products |
| Gene ID : | GeneID 7088 | Matching products |
Handling & Safety
| Storage: | +4°C |
| Shipping: | +4°C (International: +4°C) |
Caution
Our products are for laboratory research use only: Not for administration to humans!
Our products are for laboratory research use only: Not for administration to humans!
Information about the product reference will follow.
more
You will get a certificate here
Viewed