Cookie preferences
This website uses cookies, which are necessary for the technical operation of the website and are always set. Other cookies, which increase the comfort when using this website, are used for direct advertising or to facilitate interaction with other websites and social networks, are only set with your consent.
Configuration
Technically required
These cookies are necessary for the basic functions of the shop.
"Allow all cookies" cookie
"Decline all cookies" cookie
CSRF token
Cookie preferences
Currency change
Customer-specific caching
FACT-Finder tracking
Individual prices
Selected shop
Session
Comfort functions
These cookies are used to make the shopping experience even more appealing, for example for the recognition of the visitor.
Note
Show the facebook fanpage in the right blod sidebar
Statistics & Tracking
Affiliate program
Conversion and usertracking via Google Tag Manager
Track device being used
| Item number | Size | Datasheet | Manual | SDS | Delivery time | Quantity | Price |
|---|---|---|---|---|---|---|---|
| ABS-KC-1181.50 | 50 µl | - | - |
Request delivery time estimate |
206.00€
|
||
| ABS-KC-1181.100 | 100 µl | - | - |
Request delivery time estimate |
295.00€
|
If you have any questions, please use our Contact Form.
You can also order by e-mail: info@biomol.com
Larger quantity required? Request bulk
You can also order by e-mail: info@biomol.com
Larger quantity required? Request bulk
Protein function: TJP1, TJP2, and TJP3 are closely related scaffolding proteins that link tight... more
Product information "Anti-TJP3"
Protein function: TJP1, TJP2, and TJP3 are closely related scaffolding proteins that link tight junction (TJ) transmembrane proteins such as claudins, junctional adhesion molecules, and occludin to the actin cytoskeleton (PubMed:16129888). The tight junction acts to limit movement of substances through the paracellular space and as a boundary between the compositionally distinct apical and basolateral plasma membrane domains of epithelial and endothelial cells. Binds and recruits PATJ to tight junctions where it connects and stabilizes apical and lateral components of tight junctions (PubMed:16129888). Promotes cell-cycle progression through the sequestration of cyclin D1 (CCND1) at tight junctions during mitosis which prevents CCND1 degradation during M- phase and enables S-phase transition (PubMed:21411630). With TJP1 and TJP2, participates in the junctional retention and stability of the transcription factor DBPA, but is not involved in its shuttling to the nucleus. Contrary to TJP2, TJP3 is dispensable for individual viability, embryonic development, epithelial differentiation, and the establishment of TJs, at least in the laboratory environment. [The UniProt Consortium]
| Keywords: | Anti-Tight junction protein ZO-3, Anti-Tight junction protein 3, Anti-Zona occludens protein 3, Anti-Zonula occludens protein 3, TJP3 Antibody |
| Supplier: | Absea |
| Supplier-Nr: | KC-1181 |
Properties
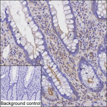
| Application: | IHC |
| Antibody Type: | Monoclonal |
| Clone: | 11B3 |
| Conjugate: | No |
| Host: | Mouse |
| Species reactivity: | human |
| Immunogen: | Recombinant human TJP3 |
| Format: | Solution |
Database Information
| KEGG ID : | K06097 | Matching products |
| UniProt ID : | O95049 | Matching products |
| Gene ID : | GeneID 27134 | Matching products |
Handling & Safety
| Storage: | -20°C (avoid repeat freezing and thawing cycles) |
| Shipping: | +4°C (International: +4°C) |
Caution
Our products are for laboratory research use only: Not for administration to humans!
Our products are for laboratory research use only: Not for administration to humans!
You will get a certificate here
Viewed