Cookie preferences
This website uses cookies, which are necessary for the technical operation of the website and are always set. Other cookies, which increase the comfort when using this website, are used for direct advertising or to facilitate interaction with other websites and social networks, are only set with your consent.
Configuration
Technically required
These cookies are necessary for the basic functions of the shop.
"Allow all cookies" cookie
"Decline all cookies" cookie
CSRF token
Cookie preferences
Currency change
Customer-specific caching
FACT-Finder tracking
Individual prices
Selected shop
Session
Comfort functions
These cookies are used to make the shopping experience even more appealing, for example for the recognition of the visitor.
Note
Show the facebook fanpage in the right blod sidebar
Statistics & Tracking
Affiliate program
Conversion and usertracking via Google Tag Manager
Track device being used
| Item number | Size | Datasheet | Manual | SDS | Delivery time | Quantity | Price |
|---|---|---|---|---|---|---|---|
| NSJ-FY12776 | 100 µg | - | - |
3 - 10 business days* |
790.00€
|
If you have any questions, please use our Contact Form.
You can also order by e-mail: info@biomol.com
Larger quantity required? Request bulk
You can also order by e-mail: info@biomol.com
Larger quantity required? Request bulk
Adding 0.2 ml of distilled water will yield a concentration of 500 ug/ml. TIGAR antibody detects... more
Product information "Anti-TIGAR / TP53-induced glycolysis and apoptosis regulator"
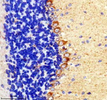
Adding 0.2 ml of distilled water will yield a concentration of 500 ug/ml. TIGAR antibody detects TP53-induced glycolysis and apoptosis regulator, a key metabolic enzyme that modulates glycolysis, antioxidant defense, and cell survival. Encoded by the TIGAR gene on chromosome 12p13.3, this protein was identified as a transcriptional target of the tumor suppressor p53. TIGAR functions as a fructose-2,6-bisphosphatase, reducing levels of fructose-2,6-bisphosphate in the cytoplasm and thereby inhibiting glycolysis while promoting the pentose phosphate pathway. This metabolic shift enhances NADPH production, which supports antioxidant defense and protects cells against reactive oxygen species (ROS).TIGAR contains a bisphosphatase domain homologous to that of the PFKFB family of enzymes but functions independently to regulate metabolic flux. By lowering intracellular fructose-2,6-bisphosphate, it decreases glycolytic activity and reduces lactate production while increasing glucose utilization for nucleotide synthesis and redox balance. This activity allows TIGAR to protect cells from oxidative stress and apoptosis under p53-mediated stress responses. It also contributes to autophagy regulation by balancing energy production and redox homeostasis.The TIGAR antibody is used in metabolism, cancer, and redox biology research to investigate metabolic reprogramming and p53-dependent signaling. Western blot analysis typically identifies a 30 kilodalton band corresponding to TIGAR, while immunofluorescence shows cytoplasmic and perinuclear staining in metabolically active cells. Because TIGAR regulates the balance between glycolysis and antioxidant pathways, this antibody is a valuable tool for studying stress responses, metabolic adaptation, and tumor metabolism.In cancer, TIGAR overexpression can support tumor cell survival by reducing oxidative stress, contributing to chemoresistance and metabolic flexibility. Conversely, TIGAR deficiency enhances ROS accumulation and apoptosis, sensitizing cells to stress. NSJ Bioreagents provides the TIGAR antibody validated for its applications, ensuring consistent detection in studies of metabolism, apoptosis, and cancer biology.
| Keywords: | Anti-TIGAR, Anti-Fructose-2,6-bisphosphatase TIGAR, Anti-TP53-induced glycolysis regulatory phosphatase, Anti-TP53-induced glycolysis and apoptosis regulator, TIGAR Antibody / TP53-induced glycolysis and apoptosis regulator |
| Supplier: | NSJ Bioreagents |
| Supplier-Nr: | FY12776 |
Properties
| Application: | WB, IHC, ICC/IF, FC, ELISA |
| Antibody Type: | Polyclonal |
| Conjugate: | No |
| Host: | Rabbit |
| Species reactivity: | human, mouse, rat |
| Immunogen: | E.coli-derived human TIGAR recombinant protein (Position: M1-R270) |
| Format: | Purified |
Database Information
| KEGG ID : | K14634 | Matching products |
| UniProt ID : | Q9NQ88 | Matching products |
| Gene ID : | GeneID 57103 | Matching products |
Handling & Safety
| Storage: | +4°C |
| Shipping: | +4°C (International: +4°C) |
Caution
Our products are for laboratory research use only: Not for administration to humans!
Our products are for laboratory research use only: Not for administration to humans!
Information about the product reference will follow.
more
You will get a certificate here
Viewed