Anti-TCL1B

Item number Size Datasheet Manual SDS Delivery time Quantity Price
ABS-KC-1314.50 50 µl - -

Request delivery time estimate

206.00€
ABS-KC-1314.100 100 µl - -

Request delivery time estimate

295.00€
 
Protein function: Enhances the phosphorylation and activation of AKT1 and AKT2. [The UniProt... more
Product information "Anti-TCL1B"
Protein function: Enhances the phosphorylation and activation of AKT1 and AKT2. [The UniProt Consortium]
Keywords: Anti-T-cell leukemia/lymphoma protein 1B, Anti-Oncogene TCL-1B, Anti-Oncogene TCL1B, Anti-SYN-1, Anti-Syncytiotrophoblast-specific protein, Anti-TCL1/MTCP1-like protein 1, TCL1B Antibody
Supplier: Absea
Supplier-Nr: KC-1314

Properties

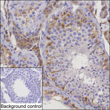
Application: IHC
Antibody Type: Monoclonal
Clone: 16E9
Conjugate: No
Host: Mouse
Species reactivity: human
Immunogen: Recombinant human TCL1B
Format: Solution

Handling & Safety

Storage: -20°C (avoid repeat freezing and thawing cycles)
Shipping: +4°C (International: +4°C)
Caution
Our products are for laboratory research use only: Not for administration to humans!
Information about the product reference will follow. more
You will get a certificate here
or to request a certificate of analysis.
Read, write and discuss reviews... more
Customer review for "Anti-TCL1B"
Write a review
or to review a product.
Viewed