Cookie preferences
This website uses cookies, which are necessary for the technical operation of the website and are always set. Other cookies, which increase the comfort when using this website, are used for direct advertising or to facilitate interaction with other websites and social networks, are only set with your consent.
Configuration
Technically required
These cookies are necessary for the basic functions of the shop.
"Allow all cookies" cookie
"Decline all cookies" cookie
CSRF token
Cookie preferences
Currency change
Customer-specific caching
FACT-Finder tracking
Individual prices
Selected shop
Session
Comfort functions
These cookies are used to make the shopping experience even more appealing, for example for the recognition of the visitor.
Note
Show the facebook fanpage in the right blod sidebar
Statistics & Tracking
Affiliate program
Conversion and usertracking via Google Tag Manager
Track device being used
| Item number | Size | Datasheet | Manual | SDS | Delivery time | Quantity | Price |
|---|---|---|---|---|---|---|---|
| NSJ-V3887SAF-100UG | 100 µg | - | - |
3 - 10 business days* |
810.00€
|
If you have any questions, please use our Contact Form.
You can also order by e-mail: info@biomol.com
Larger quantity required? Request bulk
You can also order by e-mail: info@biomol.com
Larger quantity required? Request bulk
1 mg/ml in 1X PBS, BSA free, sodium azide free. Recognizes a protein of 71kDa, identified as... more
Product information "Anti-TCF4, clone TCF4/1705"
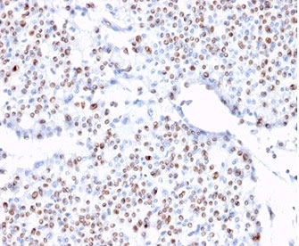
1 mg/ml in 1X PBS, BSA free, sodium azide free. Recognizes a protein of 71kDa, identified as Transcription Factor 4 (TCF4). It is a basic helix-loop-helix transcription factor. The encoded protein recognizes an Ephrussi-box ('E-box') binding site ('CANNTG') - a motif first identified in immunoglobulin enhancers. This gene is broadly expressed, and may play an important role in nervous system development. Defects in this gene are a cause of Pitt-Hopkins syndrome. Protein function: Transcription factor that binds to the immunoglobulin enhancer Mu-E5/KE5-motif. Involved in the initiation of neuronal differentiation. Activates transcription by binding to the E box (5'- CANNTG-3'). Binds to the E-box present in the somatostatin receptor 2 initiator element (SSTR2-INR) to activate transcription. Preferentially binds to either 5'-ACANNTGT-3' or 5'- CCANNTGG-3'. [The UniProt Consortium]
| Keywords: | Anti-TCF4, Anti-SEF-2, Anti-TCF-4, Anti-ITF-2, Anti-BHLHB19, Anti-bHLHb19, Anti-Transcription factor 4, Anti-SL3-3 enhancer factor 2, Anti-Immunoglobulin transcription factor 2, Anti-Class B basic helix-loop-helix protein 19, TCF4 Antibody |
| Supplier: | NSJ Bioreagents |
| Supplier-Nr: | V3887SAF |
Properties
| Application: | ELISA, WB, IHC (paraffin) |
| Antibody Type: | Monoclonal |
| Clone: | TCF4/1705 |
| Conjugate: | No |
| Host: | Mouse |
| Species reactivity: | human |
| Immunogen: | A portion of amino acids 365-671 from the human protein |
| Format: | Purified |
Database Information
| KEGG ID : | K15603 | Matching products |
| UniProt ID : | P15884 | Matching products |
| Gene ID : | GeneID 6925 | Matching products |
Handling & Safety
| Storage: | +4°C |
| Shipping: | +4°C (International: +4°C) |
Caution
Our products are for laboratory research use only: Not for administration to humans!
Our products are for laboratory research use only: Not for administration to humans!
Information about the product reference will follow.
more
You will get a certificate here
Viewed