This website uses cookies, which are necessary for the technical operation of the website and are always set. Other cookies, which increase the comfort when using this website, are used for direct advertising or to facilitate interaction with other websites and social networks, are only set with your consent.
Configuration
Technically required
These cookies are necessary for the basic functions of the shop.
"Allow all cookies" cookie
"Decline all cookies" cookie
CSRF token
Cookie preferences
Currency change
Customer-specific caching
FACT-Finder tracking
Individual prices
Selected shop
Session
Comfort functions
These cookies are used to make the shopping experience even more appealing, for example for the recognition of the visitor.
Note
Show the facebook fanpage in the right blod sidebar
Statistics & Tracking
Affiliate program
Conversion and usertracking via Google Tag Manager
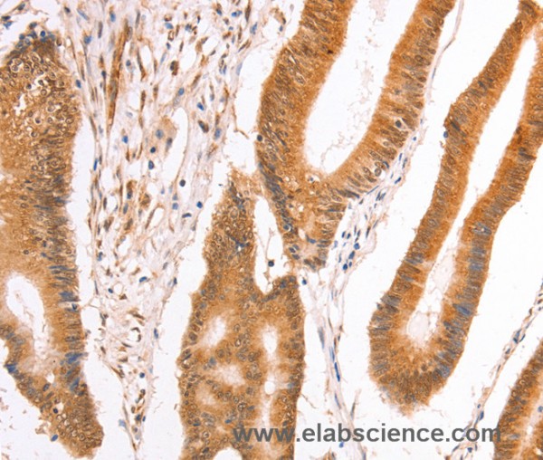
This gene encodes a HTLV-1 tax1 binding protein. The encoded protein interacts with TNFAIP3, and inhibits TNF-induced apoptosis by mediating the TNFAIP3 anti-apoptotic activity. Degradation of this protein by caspase-3-like family proteins is associated with apoptosis induced by TNF. This protein may also have a role in the inhibition of inflammatory signaling pathways. Alternatively spliced transcript variants encoding different isoforms have been found for this gene.[ Protein function: Inhibits TNF-induced apoptosis by mediating the TNFAIP3 anti-apoptotic activity. Degraded by caspase-3-like family proteins upon TNF-induced apoptosis. May also play a role in the pro-inflammatory cytokine IL-1 signaling cascade. [The UniProt Consortium]
This website uses cookies, which are necessary for the technical operation of the website and are always set. Other cookies, which increase the usability of this website, serve for direct advertising or simplify interaction with other websites and social networks, will only be used with your consent.
More information