Cookie preferences
This website uses cookies, which are necessary for the technical operation of the website and are always set. Other cookies, which increase the comfort when using this website, are used for direct advertising or to facilitate interaction with other websites and social networks, are only set with your consent.
Configuration
Technically required
These cookies are necessary for the basic functions of the shop.
"Allow all cookies" cookie
"Decline all cookies" cookie
CSRF token
Cookie preferences
Currency change
Customer-specific caching
FACT-Finder tracking
Individual prices
Selected shop
Session
Comfort functions
These cookies are used to make the shopping experience even more appealing, for example for the recognition of the visitor.
Note
Show the facebook fanpage in the right blod sidebar
Statistics & Tracking
Affiliate program
Conversion and usertracking via Google Tag Manager
Track device being used
| Item number | Size | Datasheet | Manual | SDS | Delivery time | Quantity | Price |
|---|---|---|---|---|---|---|---|
| NSJ-FY13288 | 100 µg | - | - |
3 - 10 business days* |
790.00€
|
If you have any questions, please use our Contact Form.
You can also order by e-mail: info@biomol.com
Larger quantity required? Request bulk
You can also order by e-mail: info@biomol.com
Larger quantity required? Request bulk
Adding 0.2 ml of distilled water will yield a concentration of 500 ug/ml. TAOK2 antibody... more
Product information "Anti-TAOK2 / TAO kinase 2"
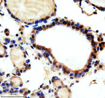
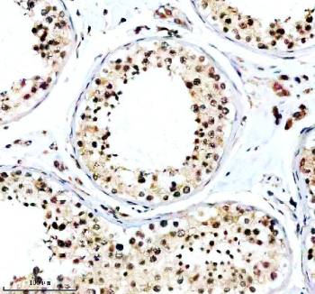
Adding 0.2 ml of distilled water will yield a concentration of 500 ug/ml. TAOK2 antibody recognizes TAO kinase 2, a serine/threonine-protein kinase encoded by the TAOK2 gene, which functions as an upstream activator in multiple MAPK signaling cascades. TAOK2 (Thousand And One Kinase 2) belongs to the STE20 kinase family and regulates cytoskeletal dynamics, stress response pathways, and neuronal development. The kinase localizes to both the cytoplasm and centrosomes, where it phosphorylates downstream kinases such as MAP2K3 and MAP2K6 to activate p38 MAPK signaling. Through these pathways, TAOK2 influences apoptosis, differentiation, and responses to cellular stress.TAOK2 plays a critical role in neuronal morphology and synaptic function. It regulates microtubule stability and axon elongation through phosphorylation of cytoskeletal proteins, including microtubule-associated proteins. In developing neurons, TAOK2 helps establish dendritic spine structure and connectivity, contributing to proper neural circuit formation. Mutations and deletions of TAOK2 have been linked to neurodevelopmental disorders such as autism spectrum disorder (ASD) and schizophrenia, underscoring its importance in brain development. Studies show that TAOK2 interacts with autism risk proteins including SHANK1 and DISC1 and modulates signaling through Rho GTPases and JNK kinases.The TAOK2 gene is located on chromosome 16p11.2, a genomic region frequently associated with copy number variations implicated in neurodevelopmental conditions. TAOK2 exists in several alternatively spliced isoforms with distinct subcellular localization and regulatory functions. The full-length protein contains an N-terminal kinase domain and a C-terminal coiled-coil domain that mediates protein-protein interactions. TAOK2 activation can be induced by oxidative stress, UV radiation, or cytokine stimulation, linking it to broader cellular stress responses and apoptosis regulation.Immunohistochemical staining using TAOK2 antibody shows expression in brain tissue, particularly in the cortex and hippocampus, as well as in heart and testis. It has been used to study MAPK pathway signaling, neuronal cytoskeleton remodeling, and stress-induced apoptosis. TAOK2 antibody from NSJ Bioreagents is a valuable tool for investigating kinase-mediated signal transduction, neuronal development, and neuropsychiatric disease mechanisms.
| Keywords: | Anti-TAOK2, Anti-Kinase from chicken homolog C, Anti-Serine/threonine-protein kinase TAO2, Anti-Prostate-derived sterile 20-like kinase 1, Anti-Thousand and one amino acid protein kinase 2, TAOK2 Antibody / TAO kinase 2 |
| Supplier: | NSJ Bioreagents |
| Supplier-Nr: | FY13288 |
Properties
| Application: | WB, IHC, IF, FC, ELISA |
| Antibody Type: | Polyclonal |
| Conjugate: | No |
| Host: | Rabbit |
| Species reactivity: | human, mouse, rat |
| Immunogen: | E.coli-derived human TAOK2 recombinant protein (Position: H502-H1142) |
| Format: | Purified |
Database Information
| KEGG ID : | K04429 | Matching products |
| UniProt ID : | Q9UL54 | Matching products |
| Gene ID : | GeneID 9344 | Matching products |
Handling & Safety
| Storage: | +4°C |
| Shipping: | +4°C (International: +4°C) |
Caution
Our products are for laboratory research use only: Not for administration to humans!
Our products are for laboratory research use only: Not for administration to humans!
Information about the product reference will follow.
more
You will get a certificate here
Viewed