Cookie preferences
This website uses cookies, which are necessary for the technical operation of the website and are always set. Other cookies, which increase the comfort when using this website, are used for direct advertising or to facilitate interaction with other websites and social networks, are only set with your consent.
Configuration
Technically required
These cookies are necessary for the basic functions of the shop.
"Allow all cookies" cookie
"Decline all cookies" cookie
CSRF token
Cookie preferences
Currency change
Customer-specific caching
FACT-Finder tracking
Individual prices
Selected shop
Session
Comfort functions
These cookies are used to make the shopping experience even more appealing, for example for the recognition of the visitor.
Note
Show the facebook fanpage in the right blod sidebar
Statistics & Tracking
Affiliate program
Conversion and usertracking via Google Tag Manager
Track device being used
| Item number | Size | Datasheet | Manual | SDS | Delivery time | Quantity | Price |
|---|---|---|---|---|---|---|---|
| ATA-HPA008461.25 | 25 µl | - |
7 - 10 business days* |
246.00€
|
|||
| ATA-HPA008461.100 | 100 µl | - |
7 - 10 business days* |
491.00€
|
If you have any questions, please use our Contact Form.
You can also order by e-mail: info@biomol.com
Larger quantity required? Request bulk
You can also order by e-mail: info@biomol.com
Larger quantity required? Request bulk
Protein function: As a component of the LINC (LInker of Nucleoskeleton and Cytoskeleton) complex... more
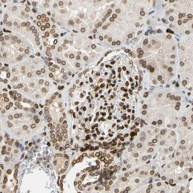
Product information "Anti-SUN1"
Protein function: As a component of the LINC (LInker of Nucleoskeleton and Cytoskeleton) complex involved in the connection between the nuclear lamina and the cytoskeleton (PubMed:18039933, PubMed:18396275). The nucleocytoplasmic interactions established by the LINC complex play an important role in the transmission of mechanical forces across the nuclear envelope and in nuclear movement and positioning. Required for interkinetic nuclear migration (INM) and essential for nucleokinesis and centrosome-nucleus coupling during radial neuronal migration in the cerebral cortex and during glial migration. Involved in telomere attachment to nuclear envelope in the prophase of meiosis implicating a SUN1/2:KASH5 LINC complex in which SUN1 and SUN2 seem to act at least partial redundantly. Required for gametogenesis and involved in selective gene expression of coding and non-coding RNAs needed for gametogenesis. Helps to define the distribution of nuclear pore complexes (NPCs). Required for efficient localization of SYNE4 in the nuclear envelope. May be involved in nuclear remodeling during sperm head formation in spermatogenenis. May play a role in DNA repair by suppressing non- homologous end joining repair to facilitate the repair of DNA cross- links (PubMed:24375709). [The UniProt Consortium] Buffer: 40% glycerol and PBS (pH 7.2). 0.02% sodium azide is added as preservative. Highest antigen sequence identity to mouse: 51% and to rat: 50%
| Keywords: | Anti-KIAA0810, Anti-Protein unc-84 homolog A, Anti-Sad1/unc-84 protein-like 1, Anti-SUN domain-containing protein 1 |
| Supplier: | Atlas Antibodies |
| Supplier-Nr: | HPA008461 |
Properties
| Application: | ICC, IHC, WB |
| Antibody Type: | Polyclonal |
| Conjugate: | No |
| Host: | Rabbit |
| Species reactivity: | human |
| Immunogen: | Recombinant Protein Epitope Signature Tag (PrEST) antigen sequence: QGNFFSFLPV LNWASMHRTQ RVDDPQDVFK PTTSRLKQPL QGDSEAFPWH WMSGVEQQVA SLSGQCHHHG ENLRELTTLL QKLQARVDQM EGGAAGPSAS VRDAVGQPPR ETDFMAFHQE HEVRMSHLED ILGKLR (ATA-APrEST71107) |
Database Information
| KEGG ID : | K19347 | Matching products |
| UniProt ID : | O94901 | Matching products |
| Gene ID : | GeneID 23353 | Matching products |
| Protein Atlas Nr. : | ENSG00000164828 |
Handling & Safety
| Storage: | -20°C |
| Shipping: | +20°C (International: +20°C) |
Caution
Our products are for laboratory research use only: Not for administration to humans!
Our products are for laboratory research use only: Not for administration to humans!
Information about the product reference will follow.
more
You will get a certificate here
Viewed