Cookie preferences
This website uses cookies, which are necessary for the technical operation of the website and are always set. Other cookies, which increase the comfort when using this website, are used for direct advertising or to facilitate interaction with other websites and social networks, are only set with your consent.
Configuration
Technically required
These cookies are necessary for the basic functions of the shop.
"Allow all cookies" cookie
"Decline all cookies" cookie
CSRF token
Cookie preferences
Currency change
Customer-specific caching
FACT-Finder tracking
Individual prices
Selected shop
Session
Comfort functions
These cookies are used to make the shopping experience even more appealing, for example for the recognition of the visitor.
Note
Show the facebook fanpage in the right blod sidebar
Statistics & Tracking
Affiliate program
Conversion and usertracking via Google Tag Manager
Track device being used
| Item number | Size | Datasheet | Manual | SDS | Delivery time | Quantity | Price |
|---|---|---|---|---|---|---|---|
| NSJ-FY12044 | 100 µg | - | - |
3 - 10 business days* |
790.00€
|
If you have any questions, please use our Contact Form.
You can also order by e-mail: info@biomol.com
Larger quantity required? Request bulk
You can also order by e-mail: info@biomol.com
Larger quantity required? Request bulk
Adding 0.2 ml of distilled water will yield a concentration of 500 ug/ml. STC2 antibody detects... more
Product information "Anti-STC2 / Stanniocalcin 2"
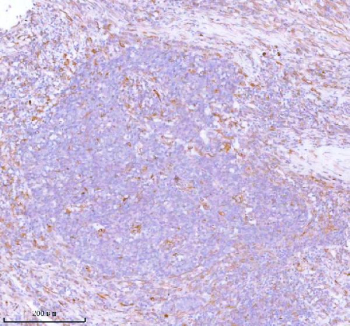
Adding 0.2 ml of distilled water will yield a concentration of 500 ug/ml. STC2 antibody detects Stanniocalcin 2, encoded by the STC2 gene. Stanniocalcin 2 is a secreted glycoprotein hormone involved in calcium and phosphate homeostasis, cell metabolism, and stress responses. STC2 antibody provides researchers with a reliable reagent for studying calcium signaling, endocrine function, and cancer biology.Stanniocalcin 2 belongs to a family of hormones originally described in fish for regulating calcium uptake in gills, but in mammals it plays broader roles. Research using STC2 antibody has shown that it is widely expressed in endocrine and metabolic tissues, including kidney, pancreas, and liver. It regulates calcium and phosphate transport by modulating ion channels and transporters, ensuring mineral balance and bone health.Studies with STC2 antibody have revealed that Stanniocalcin 2 is upregulated in response to hypoxia and endoplasmic reticulum stress. As a stress-responsive hormone, STC2 promotes cell survival by inhibiting apoptosis and supporting adaptation to metabolic stress. This function links STC2 to cancer and ischemic disease, where stress responses are critical.In oncology, Stanniocalcin 2 has been associated with tumor progression. Research using STC2 antibody has demonstrated that elevated STC2 expression correlates with metastasis, angiogenesis, and resistance to chemotherapy in breast, liver, and colorectal cancers. By regulating calcium signaling and stress pathways, tumors exploit STC2 to enhance survival and growth. This makes it a potential biomarker and therapeutic target.STC2 antibody is widely applied in western blotting, immunohistochemistry, and ELISA. Western blotting quantifies protein levels, immunohistochemistry reveals expression in normal and cancer tissues, and ELISA measures circulating hormone levels in serum samples. These approaches make STC2 antibody a valuable tool for both basic and clinical research.By providing validated STC2 antibody reagents, NSJ Bioreagents supports studies into mineral metabolism, stress signaling, and disease. Detection of Stanniocalcin 2 provides researchers with insight into how endocrine hormones regulate physiology and pathology.
| Keywords: | Anti-STC2, Anti-Stanniocalcin-2, Anti-Stanniocalcin-related protein, STC2 Antibody / Stanniocalcin 2 |
| Supplier: | NSJ Bioreagents |
| Supplier-Nr: | FY12044 |
Properties
| Application: | ELISA, IF, IHC, ICC, WB, FC |
| Antibody Type: | Polyclonal |
| Conjugate: | No |
| Host: | Rabbit |
| Species reactivity: | human, mouse, rat |
| Immunogen: | E.coli-derived human Stanniocalcin 2/STC2 recombinant protein (Position: A51-Q226) |
| Format: | Purified |
Database Information
| UniProt ID : | O76061 | Matching products |
| Gene ID : | GeneID 8614 | Matching products |
Handling & Safety
| Storage: | +4°C |
| Shipping: | +4°C (International: +4°C) |
Caution
Our products are for laboratory research use only: Not for administration to humans!
Our products are for laboratory research use only: Not for administration to humans!
Information about the product reference will follow.
more
You will get a certificate here
Viewed