Cookie preferences
This website uses cookies, which are necessary for the technical operation of the website and are always set. Other cookies, which increase the comfort when using this website, are used for direct advertising or to facilitate interaction with other websites and social networks, are only set with your consent.
Configuration
Technically required
These cookies are necessary for the basic functions of the shop.
"Allow all cookies" cookie
"Decline all cookies" cookie
CSRF token
Cookie preferences
Currency change
Customer-specific caching
FACT-Finder tracking
Individual prices
Selected shop
Session
Comfort functions
These cookies are used to make the shopping experience even more appealing, for example for the recognition of the visitor.
Note
Show the facebook fanpage in the right blod sidebar
Statistics & Tracking
Affiliate program
Conversion and usertracking via Google Tag Manager
Track device being used
| Item number | Size | Datasheet | Manual | SDS | Delivery time | Quantity | Price |
|---|---|---|---|---|---|---|---|
| NSJ-FY12196 | 100 µg | - | - |
3 - 10 business days* |
790.00€
|
If you have any questions, please use our Contact Form.
You can also order by e-mail: info@biomol.com
Larger quantity required? Request bulk
You can also order by e-mail: info@biomol.com
Larger quantity required? Request bulk
Adding 0.2 ml of distilled water will yield a concentration of 500 ug/ml. SRRT antibody detects... more
Product information "Anti-SRRT / ARS2"
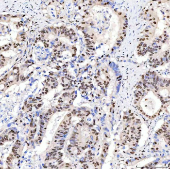
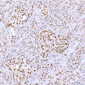
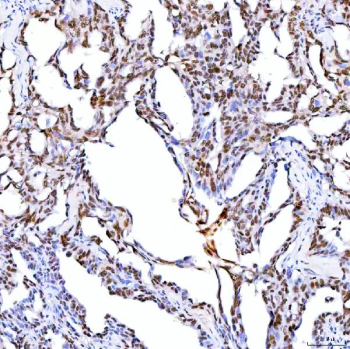
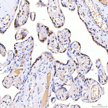
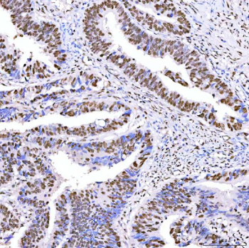
Adding 0.2 ml of distilled water will yield a concentration of 500 ug/ml. SRRT antibody detects Serrate RNA effector molecule homolog, also known as ARS2, encoded by the SRRT gene on chromosome 7q22.1. SRRT antibody is widely used in studies of RNA metabolism, microRNA processing, and transcriptional regulation. SRRT/ARS2 functions as a nuclear cap-binding complex (CBC)-associated factor, linking transcription termination with RNA processing. It is expressed across many tissues, with elevated levels in proliferating cells where RNA synthesis and processing are highly active.Structurally, SRRT contains RNA-binding domains and conserved regions that mediate interactions with the cap-binding complex proteins CBP80 and CBP20. These interactions stabilize RNA transcripts and recruit processing machinery. SRRT also associates with the microprocessor complex component DROSHA, supporting microRNA biogenesis. Alternative splicing generates isoforms with distinct regulatory functions.Functionally, SRRT/ARS2 acts as a multifunctional adaptor at the intersection of transcription and RNA processing. It coordinates transcription termination, 3' end formation, and maturation of non-coding RNAs. SRRT also regulates microRNA production by stabilizing pri-miRNA transcripts and facilitating their cleavage by the DROSHA-DGCR8 complex. Knockdown experiments reduce microRNA levels, impairing gene silencing and altering cell proliferation. Researchers use SRRT antibody to study RNA metabolism, transcription regulation, and microRNA biology.Clinically, SRRT has been implicated in cancer and developmental disorders. Overexpression of SRRT supports tumor cell proliferation by enhancing RNA processing efficiency. Mutations or deletions of SRRT disrupt RNA maturation and contribute to developmental abnormalities. SRRT has also been linked to antiviral defense, where it regulates RNA stability during infection. NSJ Bioreagents provides SRRT antibody to support research in RNA biology, oncology, and developmental disease.Experimentally, SRRT antibody is used in western blotting to detect the ~100 kDa protein, in immunofluorescence microscopy to study nuclear localization, and in immunohistochemistry to evaluate tissue-specific expression. Co-immunoprecipitation with SRRT antibody enables identification of RNA processing complexes and binding partners.
| Keywords: | Anti-SRRT, Anti-Arsenite-resistance protein 2, Anti-Serrate RNA effector molecule homolog, SRRT Antibody / ARS2 |
| Supplier: | NSJ Bioreagents |
| Supplier-Nr: | FY12196 |
Properties
| Application: | WB, IHC, ICC, IF, IP, FC, ELISA |
| Antibody Type: | Polyclonal |
| Conjugate: | No |
| Host: | Rabbit |
| Species reactivity: | human, mouse, rat |
| Immunogen: | E.coli-derived human ARS2/SRRT recombinant protein (Position: H125-Q793) |
| Format: | Purified |
Database Information
| KEGG ID : | K27103 | Matching products |
| UniProt ID : | Q9BXP5 | Matching products |
| Gene ID : | GeneID 51593 | Matching products |
Handling & Safety
| Storage: | +4°C |
| Shipping: | +4°C (International: +4°C) |
Caution
Our products are for laboratory research use only: Not for administration to humans!
Our products are for laboratory research use only: Not for administration to humans!
Information about the product reference will follow.
more
You will get a certificate here
Viewed