This website uses cookies, which are necessary for the technical operation of the website and are always set. Other cookies, which increase the comfort when using this website, are used for direct advertising or to facilitate interaction with other websites and social networks, are only set with your consent.
Configuration
Technically required
These cookies are necessary for the basic functions of the shop.
"Allow all cookies" cookie
"Decline all cookies" cookie
CSRF token
Cookie preferences
Currency change
Customer-specific caching
FACT-Finder tracking
Individual prices
Selected shop
Session
Comfort functions
These cookies are used to make the shopping experience even more appealing, for example for the recognition of the visitor.
Note
Show the facebook fanpage in the right blod sidebar
Statistics & Tracking
Affiliate program
Conversion and usertracking via Google Tag Manager
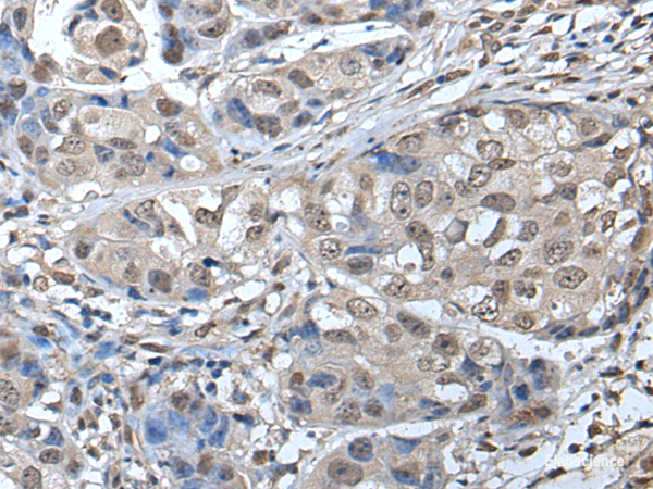
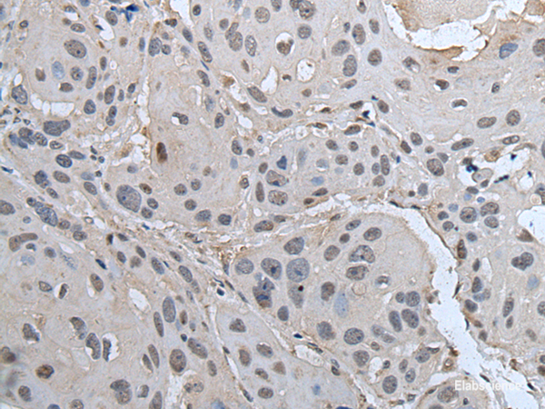
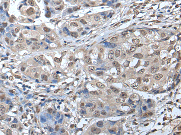
Proper cohesion of sister chromatids is a prerequisite for the correct segregation of chromosomes during cell division. The cohesin multiprotein complex is required for sister chromatid cohesion. This complex is composed partly of two structural maintenance of chromosomes (SMC) proteins, SMC3 and either SMC1B or the protein encoded by this gene. Most of the cohesin complexes dissociate from the chromosomes before mitosis, although those complexes at the kinetochore remain. Therefore, the encoded protein is thought to be an important part of functional kinetochores. In addition, this protein interacts with BRCA1 and is phosphorylated by ATM, indicating a potential role for this protein in DNA repair. This gene, which belongs to the SMC gene family, is located in an area of the X-chromosome that escapes X inactivation. Mutations in this gene result in Cornelia de Lange syndrome. Alternative splicing results in multiple transcript variants encoding different isoforms. Protein function: Involved in chromosome cohesion during cell cycle and in DNA repair. Central component of cohesin complex. The cohesin complex is required for the cohesion of sister chromatids after DNA replication. The cohesin complex apparently forms a large proteinaceous ring within which sister chromatids can be trapped. At anaphase, the complex is cleaved and dissociates from chromatin, allowing sister chromatids to segregate. The cohesin complex may also play a role in spindle pole assembly during mitosis. Involved in DNA repair via its interaction with BRCA1 and its related phosphorylation by ATM, or via its phosphorylation by ATR. Works as a downstream effector both in the ATM/NBS1 branch and in the ATR/MSH2 branch of S-phase checkpoint. [The UniProt Consortium]
Keywords:
Anti-SMC1A, Anti-Sb1.8, Anti-SMC-1A, Anti-DXS423E, Anti-SMC-1-alpha, Anti-SMC protein 1A, Anti-Structural maintenance of chromosomes protein 1A, SMC1A Polyclonal Antibody
This website uses cookies, which are necessary for the technical operation of the website and are always set. Other cookies, which increase the usability of this website, serve for direct advertising or simplify interaction with other websites and social networks, will only be used with your consent.
More information