Cookie preferences
This website uses cookies, which are necessary for the technical operation of the website and are always set. Other cookies, which increase the comfort when using this website, are used for direct advertising or to facilitate interaction with other websites and social networks, are only set with your consent.
Configuration
Technically required
These cookies are necessary for the basic functions of the shop.
"Allow all cookies" cookie
"Decline all cookies" cookie
CSRF token
Cookie preferences
Currency change
Customer-specific caching
FACT-Finder tracking
Individual prices
Selected shop
Session
Comfort functions
These cookies are used to make the shopping experience even more appealing, for example for the recognition of the visitor.
Note
Show the facebook fanpage in the right blod sidebar
Statistics & Tracking
Affiliate program
Conversion and usertracking via Google Tag Manager
Track device being used
| Item number | Size | Datasheet | Manual | SDS | Delivery time | Quantity | Price |
|---|---|---|---|---|---|---|---|
| NSJ-R31227 | 100 µg | - | - |
3 - 10 business days* |
790.00€
|
If you have any questions, please use our Contact Form.
You can also order by e-mail: info@biomol.com
Larger quantity required? Request bulk
You can also order by e-mail: info@biomol.com
Larger quantity required? Request bulk
0.5mg/ml if reconstituted with 0.2ml sterile DI water. Mothers against decapentaplegic homolog 1,... more
Product information "Anti-SMAD1"
0.5mg/ml if reconstituted with 0.2ml sterile DI water. Mothers against decapentaplegic homolog 1, also known as SMAD family member 1, is a protein that in humans is encoded by the SMAD1 gene. SMAD1 belongs to the SMAD, a family of proteins similar to the gene products of the Drosophila gene mothers against decapentaplegic(Mad) and the C. elegans gene Sma. The gene was assigned to human chromosome 4q31.21. SMAD proteins are signal transducers and transcriptional modulators that mediate multiple signaling pathways. Protein function: Transcriptional modulator activated by BMP (bone morphogenetic proteins) type 1 receptor kinase. SMAD1 is a receptor- regulated SMAD (R-SMAD). May play a role in the initiation and maintenance of spermatogenesis. SMAD1/OAZ1/PSMB4 complex mediates the degradation of the CREBBP/EP300 repressor SNIP1. May act synergistically with SMAD4 and YY1 in bone morphogenetic protein (BMP)-mediated cardiac-specific gene expression (PubMed:15329343). [The UniProt Consortium]
| Keywords: | Anti-mMad1, Anti-Smad1, Anti-Madh1, Anti-Dwf-A, Anti-SMAD 1, Anti-Dwarfin-A, Anti-MAD homolog 1, Anti-SMAD family member 1, Anti-Mad-related protein 1, Anti-Mothers against DPP homolog 1, Anti-Mothers-against-DPP-related 1, SMAD1 Antibody |
| Supplier: | NSJ Bioreagents |
| Supplier-Nr: | R31227 |
Properties
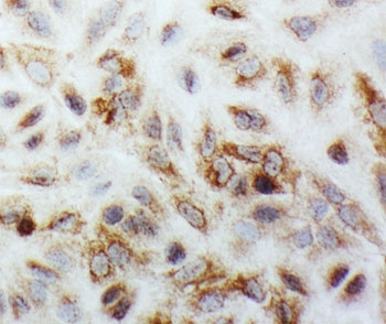
| Application: | WB, IHC (paraffin), ICC |
| Antibody Type: | Polyclonal |
| Conjugate: | No |
| Host: | Rabbit |
| Species reactivity: | human, mouse, rat |
| Immunogen: | Amino acid sequence from the C-terminus of mouse SMAD family member 1 (AEISRGDVQAVAYEE) |
| Format: | Purified |
Database Information
| KEGG ID : | K04676 | Matching products |
| UniProt ID : | P70340 | Matching products |
| Gene ID : | GeneID 17125 | Matching products |
Handling & Safety
| Storage: | +4°C |
| Shipping: | +4°C (International: +4°C) |
Caution
Our products are for laboratory research use only: Not for administration to humans!
Our products are for laboratory research use only: Not for administration to humans!
Information about the product reference will follow.
more
You will get a certificate here
Viewed