Cookie preferences
This website uses cookies, which are necessary for the technical operation of the website and are always set. Other cookies, which increase the comfort when using this website, are used for direct advertising or to facilitate interaction with other websites and social networks, are only set with your consent.
Configuration
Technically required
These cookies are necessary for the basic functions of the shop.
"Allow all cookies" cookie
"Decline all cookies" cookie
CSRF token
Cookie preferences
Currency change
Customer-specific caching
FACT-Finder tracking
Individual prices
Selected shop
Session
Comfort functions
These cookies are used to make the shopping experience even more appealing, for example for the recognition of the visitor.
Note
Show the facebook fanpage in the right blod sidebar
Statistics & Tracking
Affiliate program
Conversion and usertracking via Google Tag Manager
Track device being used
| Item number | Size | Datasheet | Manual | SDS | Delivery time | Quantity | Price |
|---|---|---|---|---|---|---|---|
| NSJ-R32332 | 100 µg | - | - |
3 - 10 business days* |
790.00€
|
If you have any questions, please use our Contact Form.
You can also order by e-mail: info@biomol.com
Larger quantity required? Request bulk
You can also order by e-mail: info@biomol.com
Larger quantity required? Request bulk
0.5mg/ml if reconstituted with 0.2ml sterile DI water. Smac antibody targets Second... more
Product information "Anti-Smac / Diablo"
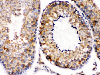
0.5mg/ml if reconstituted with 0.2ml sterile DI water. Smac antibody targets Second mitochondria-derived activator of caspases, commonly known as Smac or Diablo, encoded by the DIABLO gene. Smac is a mitochondrial protein that plays a critical role in the intrinsic apoptotic pathway by promoting caspase activation. Under normal conditions, Smac is localized within the mitochondrial intermembrane space. Upon apoptotic stimulation, it is released into the cytosol, where it functions as a pro-apoptotic regulator by counteracting inhibitor of apoptosis proteins (IAPs).Functionally, Smac enhances apoptosis by binding to IAP family members such as XIAP, cIAP1, and cIAP2, thereby preventing these proteins from suppressing caspase activity. Through this mechanism, Smac facilitates the activation of effector caspases and promotes efficient execution of programmed cell death. This role positions Smac as an important checkpoint protein that helps determine whether apoptotic signals proceed to irreversible cell death. A Smac antibody supports studies focused on mitochondrial apoptosis and caspase regulation.DIABLO is broadly expressed across tissues, reflecting the universal requirement for tightly regulated apoptotic machinery in multicellular organisms. While Smac is constitutively present in mitochondria, its cytosolic activity is strictly regulated and occurs primarily in response to cellular stress, DNA damage, or death receptor signaling. The controlled release of Smac ensures that apoptosis is activated only under appropriate conditions, maintaining tissue homeostasis and preventing unintended cell loss.From a disease-relevance perspective, dysregulation of Smac-mediated apoptosis has been implicated in cancer, neurodegenerative disease, and immune disorders. Reduced Smac expression or impaired release from mitochondria can contribute to apoptosis resistance in tumor cells, supporting uncontrolled survival and therapy resistance. Conversely, excessive or inappropriate activation of apoptotic pathways involving Smac has been studied in degenerative conditions characterized by unwanted cell death. These findings have made Smac a molecule of interest in studies of apoptosis regulation and therapeutic targeting of cell death pathways.At the molecular level, Smac undergoes mitochondrial processing to generate its mature, active form, and post-translational regulation can influence its stability and interactions with IAP proteins. These factors can contribute to variable electrophoretic behavior on SDS-PAGE without implying changes in primary sequence. A Smac antibody supports research applications focused on apoptosis signaling, mitochondrial protein dynamics, and disease-associated alterations in cell death regulation, with NSJ Bioreagents providing reagents intended for research use.
| Keywords: | Anti-DIABLO, Anti-Diablo homolog, mitochondrial, Anti-Direct IAP-binding protein with low pI, Anti-Diablo IAP-binding mitochondrial protein, Anti-Second mitochondria-derived activator of caspases, Smac Antibody / Diablo |
| Supplier: | NSJ Bioreagents |
| Supplier-Nr: | R32332 |
Properties
| Application: | WB, IHC (paraffin), IF, FC, IP, ELISA (protein) |
| Antibody Type: | Polyclonal |
| Conjugate: | No |
| Host: | Rabbit |
| Species reactivity: | human, mouse, rat |
| Immunogen: | Amino acids 56-239 of human Smac/Diablo |
| Format: | Purified |
Database Information
| KEGG ID : | K10522 | Matching products |
| UniProt ID : | Q9NR28 | Matching products |
| Gene ID : | GeneID 56616 | Matching products |
Handling & Safety
| Storage: | +4°C |
| Shipping: | +4°C (International: +4°C) |
Caution
Our products are for laboratory research use only: Not for administration to humans!
Our products are for laboratory research use only: Not for administration to humans!
Information about the product reference will follow.
more
You will get a certificate here
Viewed