Cookie preferences
This website uses cookies, which are necessary for the technical operation of the website and are always set. Other cookies, which increase the comfort when using this website, are used for direct advertising or to facilitate interaction with other websites and social networks, are only set with your consent.
Configuration
Technically required
These cookies are necessary for the basic functions of the shop.
"Allow all cookies" cookie
"Decline all cookies" cookie
CSRF token
Cookie preferences
Currency change
Customer-specific caching
FACT-Finder tracking
Individual prices
Selected shop
Session
Comfort functions
These cookies are used to make the shopping experience even more appealing, for example for the recognition of the visitor.
Note
Show the facebook fanpage in the right blod sidebar
Statistics & Tracking
Affiliate program
Conversion and usertracking via Google Tag Manager
Track device being used
| Item number | Size | Datasheet | Manual | SDS | Delivery time | Quantity | Price |
|---|---|---|---|---|---|---|---|
| REV-31-1152-00-R100 | 100 µl | - | - |
3 - 9 business days* |
541.00€
|
If you have any questions, please use our Contact Form.
You can also order by e-mail: info@biomol.com
Larger quantity required? Request bulk
You can also order by e-mail: info@biomol.com
Larger quantity required? Request bulk
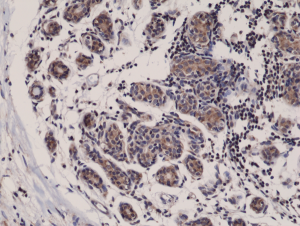
Recombinant Antibody. This antibody reacts to human Smac (Diablo homolog, mitochondrial).... more
Product information "Anti-Smac/Diablo (human), Rabbit Monoclonal (RM271)"
Recombinant Antibody. This antibody reacts to human Smac (Diablo homolog, mitochondrial). Applications: WB, IHC. Source: Rabbit. Liquid. 50% Glycerol/PBS with 1% BSA and 0.09% sodium azide. Smac/Diablo is a 21 kDa mammalian mitochondrial protein that functions as a regulatory component during apoptosis. Upon mitochondrial stress, Smac/Diablo is released from mitochondria and competes with caspases for binding of IAPs (inhibitor of apoptosis proteins). The interaction of Smac/Diablo with IAPs relieves the inhibitory effect of the IAPs on caspases. This interaction involves mainly the amino-terminal residues of Smac/Diablo with the BIR3 region of XIAP, supplemented with several other hydrophobic interactions between the helical structures of Smac/Diablo and other areas of BIR3. Furthermore, Smac/DIABLO plays an important regulatory role in the sensitization of cancer cells to both immune-and drug-induced apoptosis. It promotes apoptosis by activating caspases in the cytochrome c/Apaf-1/caspase-9 pathway and acts by opposing the inhibitory activity of inhibitor of apoptosis proteins (IAP).
| Keywords: | Direct IAP-binding Protein with low pI |
| Supplier: | RevMAb Biosciences |
| Supplier-Nr: | 31-1152-00 |
Properties
| Application: | WB, IHC |
| Antibody Type: | Monoclonal |
| Clone: | RM271 |
| Conjugate: | No |
| Host: | Rabbit |
| Species reactivity: | human |
| Format: | Purified |
Database Information
| KEGG ID : | K10522 | Matching products |
| UniProt ID : | Q9NR28 | Matching products |
| Gene ID : | GeneID 56616 | Matching products |
Handling & Safety
| Storage: | -20°C |
| Shipping: | +4°C (International: +4°C) |
Caution
Our products are for laboratory research use only: Not for administration to humans!
Our products are for laboratory research use only: Not for administration to humans!
Information about the product reference will follow.
more
You will get a certificate here
Viewed