This website uses cookies, which are necessary for the technical operation of the website and are always set. Other cookies, which increase the comfort when using this website, are used for direct advertising or to facilitate interaction with other websites and social networks, are only set with your consent.
Configuration
Technically required
These cookies are necessary for the basic functions of the shop.
"Allow all cookies" cookie
"Decline all cookies" cookie
CSRF token
Cookie preferences
Currency change
Customer-specific caching
FACT-Finder tracking
Individual prices
Selected shop
Session
Comfort functions
These cookies are used to make the shopping experience even more appealing, for example for the recognition of the visitor.
Note
Show the facebook fanpage in the right blod sidebar
Statistics & Tracking
Affiliate program
Conversion and usertracking via Google Tag Manager
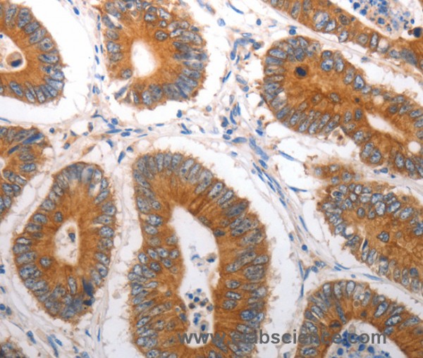
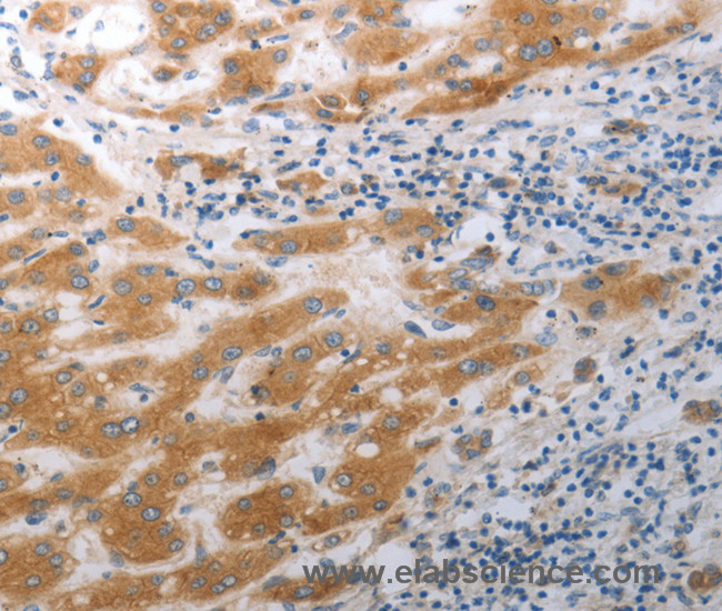
This gene is a member of the K-Cl cotransporter (KCC) family. K-Cl cotransporters are integral membrane proteins that lower intracellular chloride concentrations below the electrochemical equilibrium potential. The proteins encoded by this gene are activated by cell swelling induced by hypotonic conditions. Alternate splicing results in multiple transcript variants encoding different isoforms. Mutations in this gene are associated with agenesis of the corpus callosum with peripheral neuropathy. Protein function: Mediates electroneutral potassium-chloride cotransport. May be activated by cell swelling. May contribute to cell volume homeostasis in single cells. [The UniProt Consortium]
Keywords:
Anti-KCC3, Anti-SLC12A6, Anti-K-Cl cotransporter 3, Anti-Solute carrier family 12 member 6, Anti-Electroneutral potassium-chloride cotransporter 3, SLC12A6 Polyclonal Antibody
This website uses cookies, which are necessary for the technical operation of the website and are always set. Other cookies, which increase the usability of this website, serve for direct advertising or simplify interaction with other websites and social networks, will only be used with your consent.
More information