Cookie preferences
This website uses cookies, which are necessary for the technical operation of the website and are always set. Other cookies, which increase the comfort when using this website, are used for direct advertising or to facilitate interaction with other websites and social networks, are only set with your consent.
Configuration
Technically required
These cookies are necessary for the basic functions of the shop.
"Allow all cookies" cookie
"Decline all cookies" cookie
CSRF token
Cookie preferences
Currency change
Customer-specific caching
FACT-Finder tracking
Individual prices
Selected shop
Session
Comfort functions
These cookies are used to make the shopping experience even more appealing, for example for the recognition of the visitor.
Note
Show the facebook fanpage in the right blod sidebar
Statistics & Tracking
Affiliate program
Conversion and usertracking via Google Tag Manager
Track device being used
| Item number | Size | Datasheet | Manual | SDS | Delivery time | Quantity | Price |
|---|---|---|---|---|---|---|---|
| NSJ-RQ6725 | 100 µg | - | - |
3 - 10 business days* |
790.00€
|
If you have any questions, please use our Contact Form.
You can also order by e-mail: info@biomol.com
Larger quantity required? Request bulk
You can also order by e-mail: info@biomol.com
Larger quantity required? Request bulk
0.5mg/ml if reconstituted with 0.2ml sterile DI water. Endophilin-A1 is a protein that in humans... more
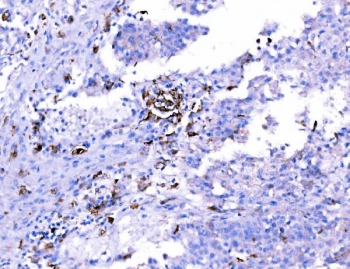
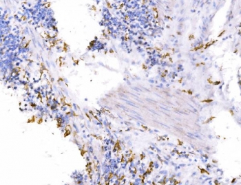
Product information "Anti-SH3GL2 / Endophilin A1"
0.5mg/ml if reconstituted with 0.2ml sterile DI water. Endophilin-A1 is a protein that in humans is encoded by the SH3GL2 gene. Endophilin proteins are part of a large family of Bin/Amphiphysin/Rvs (BAR) domain proteins that are involved in cell membrane remodeling. The endophilins are encoded by five genes, which produce endophilin A 1-3 and B 1-2. Endophilins are involved in many cellular mechanisms, such as synaptic vesicle recycling, receptor trafficking, and membrane remodeling processes. Research studies indicate that endophilin 1 (endophilin A1, SH3GL2) can induce different membrane shapes and participate in the morphogenesis of dendritic spines. Endophilin 1 is also involved in regulating blood brain barrier permeability via the EGFR-JNK pathway. Protein function: Implicated in synaptic vesicle endocytosis. May recruit other proteins to membranes with high curvature. Required for BDNF-dependent dendrite outgrowth. Cooperates with SH3GL2 to mediate BDNF-NTRK2 early endocytic trafficking and signaling from early endosomes. [The UniProt Consortium]
| Keywords: | Anti-CNSA2, Anti-SH3GL2, Anti-EEN-B1, Anti-Endophilin-1, Anti-Endophilin-A1, Anti-SH3 domain protein 2A, Anti-SH3 domain-containing GRB2-like protein 2, SH3GL2 Antibody / Endophilin A1 |
| Supplier: | NSJ Bioreagents |
| Supplier-Nr: | RQ6725 |
Properties
| Application: | WB, IHC (paraffin), IF, FC, Direct ELISA |
| Antibody Type: | Polyclonal |
| Conjugate: | No |
| Host: | Rabbit |
| Species reactivity: | human, mouse, rat |
| Immunogen: | Recombinant human protein (amino acids R65-Q292) |
| Format: | Adhesion & Structure |
Database Information
| KEGG ID : | K11247 | Matching products |
| UniProt ID : | Q99962 | Matching products |
| Gene ID : | GeneID 6456 | Matching products |
Handling & Safety
| Storage: | +4°C |
| Shipping: | +4°C (International: +4°C) |
Caution
Our products are for laboratory research use only: Not for administration to humans!
Our products are for laboratory research use only: Not for administration to humans!
Information about the product reference will follow.
more
You will get a certificate here
Viewed