Cookie preferences
This website uses cookies, which are necessary for the technical operation of the website and are always set. Other cookies, which increase the comfort when using this website, are used for direct advertising or to facilitate interaction with other websites and social networks, are only set with your consent.
Configuration
Technically required
These cookies are necessary for the basic functions of the shop.
"Allow all cookies" cookie
"Decline all cookies" cookie
CSRF token
Cookie preferences
Currency change
Customer-specific caching
FACT-Finder tracking
Individual prices
Selected shop
Session
Comfort functions
These cookies are used to make the shopping experience even more appealing, for example for the recognition of the visitor.
Note
Show the facebook fanpage in the right blod sidebar
Statistics & Tracking
Affiliate program
Conversion and usertracking via Google Tag Manager
Track device being used
| Item number | Size | Datasheet | Manual | SDS | Delivery time | Quantity | Price |
|---|---|---|---|---|---|---|---|
| IHC-00711-T | 10 µl (1 µg) | - |
2 - 8 business days* |
165.00€
|
|||
| IHC-00711 | 100 µl (10 µg) | - |
2 - 8 business days* |
621.00€
|
If you have any questions, please use our Contact Form.
You can also order by e-mail: info@biomol.com
Larger quantity required? Request bulk
You can also order by e-mail: info@biomol.com
Larger quantity required? Request bulk
Protein function: Involved in pre-mRNA splicing as a component of the splicing factor SF3B... more
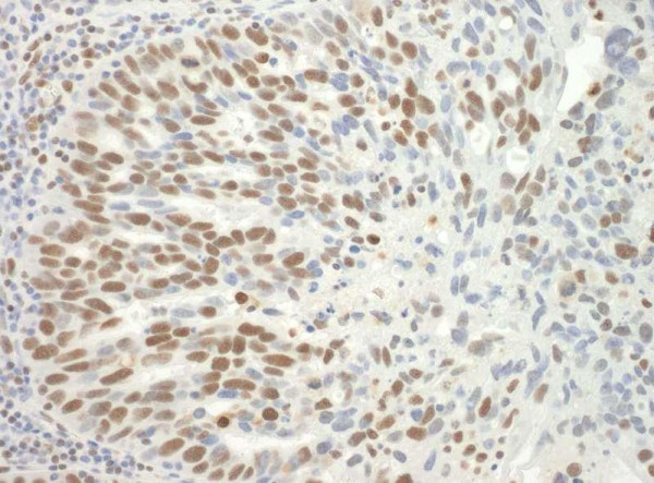
Product information "Anti-SF3B3 (IHC)"
Protein function: Involved in pre-mRNA splicing as a component of the splicing factor SF3B complex, a constituent of the spliceosome (PubMed:10490618, PubMed:10882114, PubMed:27720643, PubMed:28781166). SF3B complex is required for 'A' complex assembly formed by the stable binding of U2 snRNP to the branchpoint sequence (BPS) in pre-mRNA. Sequence independent binding of SF3A/SF3B complex upstream of the branch site is essential, it may anchor U2 snRNP to the pre-mRNA (PubMed:12234937). May also be involved in the assembly of the 'E' complex (PubMed:10882114). Belongs also to the minor U12-dependent spliceosome, which is involved in the splicing of rare class of nuclear pre-mRNA intron (PubMed:15146077). [The UniProt Consortium]
| Keywords: | Anti-SF3B3, Anti-SAP 130, Anti-STAF130, Anti-SF3b130, Anti-KIAA0017, Anti-Splicing factor 3B subunit 3, Anti-Spliceosome-associated protein 130, Anti-Pre-mRNA-splicing factor SF3b 130 kDa subunit |
| Supplier: | Bethyl Laboratories |
| Supplier-Nr: | IHC-00711 |
Properties
| Application: | IHC |
| Antibody Type: | Polyclonal |
| Conjugate: | No |
| Host: | Rabbit |
| Species reactivity: | human, mouse (Expected: rat, zebrafish, X. tropicalis, chicken, turkey, bovine, dog, horse, rabbit, guinea pig, panda, orangutan, rhesus monkey, gorilla, chimpanzee, water flea, black-legged tick, red flour beetle, jerdon's jumping ant) |
| Immunogen: | synthetic peptide |
| Format: | Antigen Affinity Purified |
Database Information
| KEGG ID : | K12830 | Matching products |
| UniProt ID : | Q15393 | Matching products |
| Gene ID : | GeneID 23450 | Matching products |
Handling & Safety
| Storage: | +4°C |
| Shipping: | +4°C (International: +4°C) |
Caution
Our products are for laboratory research use only: Not for administration to humans!
Our products are for laboratory research use only: Not for administration to humans!
Information about the product reference will follow.
more
You will get a certificate here
Viewed