This website uses cookies, which are necessary for the technical operation of the website and are always set. Other cookies, which increase the comfort when using this website, are used for direct advertising or to facilitate interaction with other websites and social networks, are only set with your consent.
Configuration
Technically required
These cookies are necessary for the basic functions of the shop.
"Allow all cookies" cookie
"Decline all cookies" cookie
CSRF token
Cookie preferences
Currency change
Customer-specific caching
FACT-Finder tracking
Individual prices
Selected shop
Session
Comfort functions
These cookies are used to make the shopping experience even more appealing, for example for the recognition of the visitor.
Note
Show the facebook fanpage in the right blod sidebar
Statistics & Tracking
Affiliate program
Conversion and usertracking via Google Tag Manager
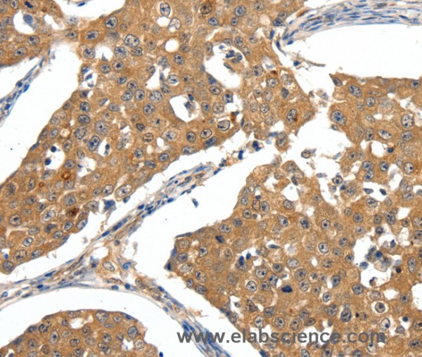
The protein encoded by this gene is an integral membrane protein and tetrodotoxin-resistant voltage-gated sodium channel subunit. This protein is found primarily in cardiac muscle and is responsible for the initial upstroke of the action potential in an electrocardiogram. Defects in this gene are a cause of long QT syndrome type 3 (LQT3), an autosomal dominant cardiac disease. Alternative splicing results in several transcript variants encoding different isoforms. Protein function: This protein mediates the voltage-dependent sodium ion permeability of excitable membranes. Assuming opened or closed conformations in response to the voltage difference across the membrane, the protein forms a sodium-selective channel through which Na(+) ions may pass in accordance with their electrochemical gradient. It is a tetrodotoxin-resistant Na(+) channel isoform. This channel is responsible for the initial upstroke of the action potential. Channel inactivation is regulated by intracellular calcium levels. [The UniProt Consortium]
Keywords:
Anti-HH1, Anti-SCN5A, Anti-Sodium channel protein type V subunit alpha, Anti-Sodium channel protein type 5 subunit alpha, Anti-Voltage-gated sodium channel subunit alpha Nav1.5, Anti-Sodium channel protein cardiac muscle subunit alpha, SCN5A Polyclonal An
This website uses cookies, which are necessary for the technical operation of the website and are always set. Other cookies, which increase the usability of this website, serve for direct advertising or simplify interaction with other websites and social networks, will only be used with your consent.
More information