This website uses cookies, which are necessary for the technical operation of the website and are always set. Other cookies, which increase the comfort when using this website, are used for direct advertising or to facilitate interaction with other websites and social networks, are only set with your consent.
Configuration
Technically required
These cookies are necessary for the basic functions of the shop.
"Allow all cookies" cookie
"Decline all cookies" cookie
CSRF token
Cookie preferences
Currency change
Customer-specific caching
FACT-Finder tracking
Individual prices
Selected shop
Session
Comfort functions
These cookies are used to make the shopping experience even more appealing, for example for the recognition of the visitor.
Note
Show the facebook fanpage in the right blod sidebar
Statistics & Tracking
Affiliate program
Conversion and usertracking via Google Tag Manager
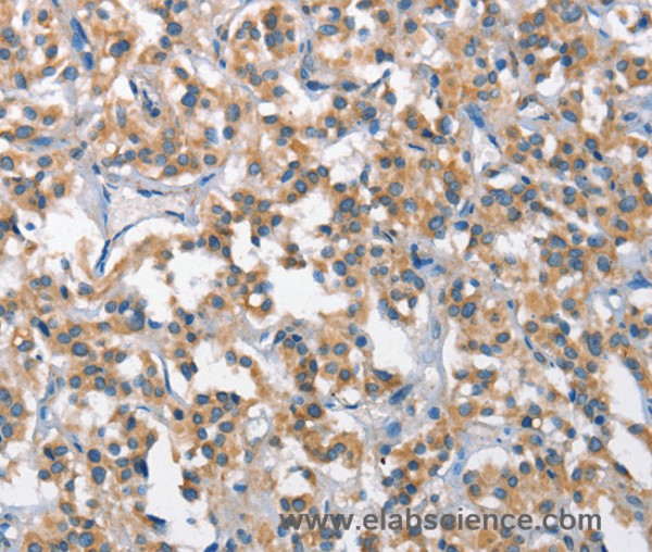
The protein encoded by this gene is a plasma membrane receptor for high density lipoprotein cholesterol (HDL). The encoded protein mediates cholesterol transfer to and from HDL. In addition, this protein is a receptor for hepatitis C virus glycoprotein E2. Two transcript variants encoding different isoforms have been found for this gene. Protein function: Receptor for different ligands such as phospholipids, cholesterol ester, lipoproteins, phosphatidylserine and apoptotic cells (PubMed:12016218, PubMed:12519372, PubMed:21226579). Receptor for HDL, mediating selective uptake of cholesteryl ether and HDL-dependent cholesterol efflux (PubMed:26965621). Also facilitates the flux of free and esterified cholesterol between the cell surface and apoB-containing lipoproteins and modified lipoproteins, although less efficiently than HDL. May be involved in the phagocytosis of apoptotic cells, via its phosphatidylserine binding activity (PubMed:12016218). [The UniProt Consortium]
Keywords:
Anti-SRB1, Anti-CD36, Anti-CLA-1, Anti-SR-BI, Anti-SCARB1, Anti-CD36L1, Anti-CD36 antigen-like 1, Anti-CD36 and LIMPII analogous 1, Anti-Scavenger receptor class B member 1, Anti-Collagen type I receptor, thrombospondin receptor-like 1, SCARB1 Polyclonal
This website uses cookies, which are necessary for the technical operation of the website and are always set. Other cookies, which increase the usability of this website, serve for direct advertising or simplify interaction with other websites and social networks, will only be used with your consent.
More information