Cookie preferences
This website uses cookies, which are necessary for the technical operation of the website and are always set. Other cookies, which increase the comfort when using this website, are used for direct advertising or to facilitate interaction with other websites and social networks, are only set with your consent.
Configuration
Technically required
These cookies are necessary for the basic functions of the shop.
"Allow all cookies" cookie
"Decline all cookies" cookie
CSRF token
Cookie preferences
Currency change
Customer-specific caching
FACT-Finder tracking
Individual prices
Selected shop
Session
Comfort functions
These cookies are used to make the shopping experience even more appealing, for example for the recognition of the visitor.
Note
Show the facebook fanpage in the right blod sidebar
Statistics & Tracking
Affiliate program
Conversion and usertracking via Google Tag Manager
Track device being used
| Item number | Size | Datasheet | Manual | SDS | Delivery time | Quantity | Price |
|---|---|---|---|---|---|---|---|
| NSJ-FY12623 | 100 µg | - | - |
3 - 10 business days* |
790.00€
|
If you have any questions, please use our Contact Form.
You can also order by e-mail: info@biomol.com
Larger quantity required? Request bulk
You can also order by e-mail: info@biomol.com
Larger quantity required? Request bulk
Adding 0.2 ml of distilled water will yield a concentration of 500 ug/ml. SCAMP3 antibody detects... more
Product information "Anti-SCAMP3 / Secretory carrier-associated membrane protein 3"
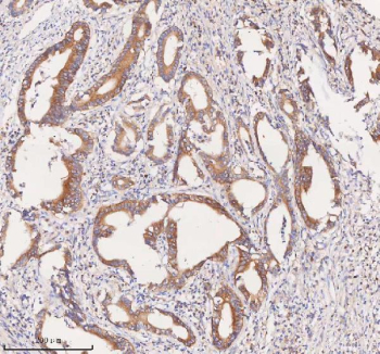
Adding 0.2 ml of distilled water will yield a concentration of 500 ug/ml. SCAMP3 antibody detects Secretory carrier-associated membrane protein 3, a member of the SCAMP family of trafficking proteins that regulate endosomal sorting, receptor recycling, and vesicular transport. SCAMP3 functions as a cargo adaptor within multivesicular bodies and plays a key role in protein sorting along the endocytic and secretory pathways. The SCAMP3 antibody is widely used in membrane biology, receptor trafficking, and cell signaling research to study protein degradation, recycling, and endosomal regulation.SCAMP3 is encoded by the SCAMP3 gene located on human chromosome 1q24.3. The protein is approximately 347 amino acids in length and contains four transmembrane domains along with cytoplasmic N- and C-terminal regions that interact with clathrin-associated sorting proteins and ubiquitin machinery. It localizes to early and late endosomes, Golgi apparatus, and the plasma membrane depending on cellular trafficking conditions.The SCAMP3 antibody detects a 38 kilodalton protein by western blot and reveals punctate cytoplasmic staining corresponding to endosomal vesicles under confocal microscopy. SCAMP3 controls receptor fate by regulating cargo deubiquitination and sorting into intraluminal vesicles destined for lysosomal degradation. It acts downstream of the ESCRT (endosomal sorting complex required for transport) machinery and modulates the recycling of growth factor receptors such as EGFR and transferrin receptor.Loss or knockdown of SCAMP3 disrupts receptor recycling, causing accumulation of ubiquitinated cargo and altered signaling duration. Overexpression can inhibit receptor downregulation and sustain proliferative signaling. Through its dual regulation of endocytosis and exocytosis, SCAMP3 maintains balance between degradation and recycling of membrane proteins, affecting cellular homeostasis and response to extracellular cues.SCAMP3 also participates in cytokine secretion, exosome biogenesis, and viral budding, emphasizing its broad role in vesicle-mediated processes. Dysregulation has been associated with cancer progression, immune modulation, and neurodegenerative disorders where vesicle trafficking is impaired. Because SCAMP3 serves as a molecular switch between degradation and recycling, it provides insight into receptor signaling dynamics. NSJ Bioreagents provides a validated SCAMP3 antibody optimized for its applications, supporting detailed research into trafficking and membrane regulation.
| Keywords: | Anti-SCAMP3, Anti-Secretory carrier-associated membrane protein 3, SCAMP3 Antibody / Secretory carrier-associated membrane protein 3 |
| Supplier: | NSJ Bioreagents |
| Supplier-Nr: | FY12623 |
Properties
| Application: | ELISA, IF, IHC, ICC, WB, FC |
| Antibody Type: | Polyclonal |
| Conjugate: | No |
| Host: | Rabbit |
| Species reactivity: | human, rat |
| Immunogen: | E.coli-derived human SCAMP3 recombinant protein (Position: M1-P347) |
| Format: | Purified |
Database Information
| KEGG ID : | K19995 | Matching products |
| UniProt ID : | O14828 | Matching products |
| Gene ID : | GeneID 10067 | Matching products |
Handling & Safety
| Storage: | +4°C |
| Shipping: | +4°C (International: +4°C) |
Caution
Our products are for laboratory research use only: Not for administration to humans!
Our products are for laboratory research use only: Not for administration to humans!
Information about the product reference will follow.
more
You will get a certificate here
Viewed