Cookie preferences
This website uses cookies, which are necessary for the technical operation of the website and are always set. Other cookies, which increase the comfort when using this website, are used for direct advertising or to facilitate interaction with other websites and social networks, are only set with your consent.
Configuration
Technically required
These cookies are necessary for the basic functions of the shop.
"Allow all cookies" cookie
"Decline all cookies" cookie
CSRF token
Cookie preferences
Currency change
Customer-specific caching
FACT-Finder tracking
Individual prices
Selected shop
Session
Comfort functions
These cookies are used to make the shopping experience even more appealing, for example for the recognition of the visitor.
Note
Show the facebook fanpage in the right blod sidebar
Statistics & Tracking
Affiliate program
Conversion and usertracking via Google Tag Manager
Track device being used
| Item number | Size | Datasheet | Manual | SDS | Delivery time | Quantity | Price |
|---|---|---|---|---|---|---|---|
| 600-401-ED5 | 100 µg | - | - |
6 - 10 business days* |
848.00€
|
If you have any questions, please use our Contact Form.
You can also order by e-mail: info@biomol.com
Larger quantity required? Request bulk
You can also order by e-mail: info@biomol.com
Larger quantity required? Request bulk
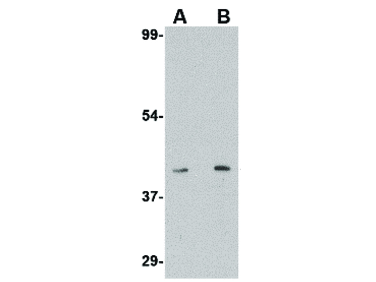
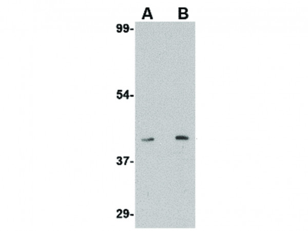
Anti-S1P1 Antibody was affinity purified from monospecific antiserum by immunoaffinity... more
Product information "Anti-S1P1"
Anti-S1P1 Antibody was affinity purified from monospecific antiserum by immunoaffinity chromatography. At least two isoforms of S1P1 are known to exist, this S1P1 antibody will only recognize the shorter isoform. Protein function: G-protein coupled receptor for the bioactive lysosphingolipid sphingosine 1-phosphate (S1P) that seems to be coupled to the G(i) subclass of heteromeric G proteins. Signaling leads to the activation of RAC1, SRC, PTK2/FAK1 and MAP kinases. Plays an important role in cell migration, probably via its role in the reorganization of the actin cytoskeleton and the formation of lamellipodia in response to stimuli that increase the activity of the sphingosine kinase SPHK1. Required for normal chemotaxis toward sphingosine 1-phosphate. Required for normal embryonic heart development and normal cardiac morphogenesis. Plays an important role in the regulation of sprouting angiogenesis and vascular maturation. Inhibits sprouting angiogenesis to prevent excessive sprouting during blood vessel development. Required for normal egress of mature T-cells from the thymus into the blood stream and into peripheral lymphoid organs. Plays a role in the migration of osteoclast precursor cells, the regulation of bone mineralization and bone homeostasis. Plays a role in responses to oxidized 1-palmitoyl-2-arachidonoyl-sn-glycero-3- phosphocholine by pulmonary endothelial cells and in the protection against ventilator-induced lung injury. [The UniProt Consortium]
| Keywords: | Anti-S1P1, Anti-S1PR1, Anti-CD363, Anti-CHEDG1, Anti-S1P receptor 1, Anti-S1P receptor Edg-1, Anti-Sphingosine 1-phosphate receptor 1, Anti-Sphingosine 1-phosphate receptor Edg-1, Anti-Endothelial differentiation G-protein coupled receptor 1 |
| Supplier: | Rockland Immunochemicals |
| Supplier-Nr: | 600-401-ED5 |
Properties
| Application: | ELISA, IHC, IFM, WB |
| Antibody Type: | Polyclonal |
| Conjugate: | No |
| Host: | Rabbit |
| Species reactivity: | human, mouse, rat |
| Immunogen: | 14 amino acid synthetic peptide near the C-terminus of the human S1P1. |
| Format: | Purified |
Database Information
| KEGG ID : | K04288 | Matching products |
| UniProt ID : | P21453 | Matching products |
| Gene ID : | GeneID 1901 | Matching products |
Handling & Safety
| Storage: | -20°C |
| Shipping: | -20°C (International: -20°C) |
Caution
Our products are for laboratory research use only: Not for administration to humans!
Our products are for laboratory research use only: Not for administration to humans!
Information about the product reference will follow.
more
You will get a certificate here
Viewed