Cookie preferences
This website uses cookies, which are necessary for the technical operation of the website and are always set. Other cookies, which increase the comfort when using this website, are used for direct advertising or to facilitate interaction with other websites and social networks, are only set with your consent.
Configuration
Technically required
These cookies are necessary for the basic functions of the shop.
"Allow all cookies" cookie
"Decline all cookies" cookie
CSRF token
Cookie preferences
Currency change
Customer-specific caching
FACT-Finder tracking
Individual prices
Selected shop
Session
Comfort functions
These cookies are used to make the shopping experience even more appealing, for example for the recognition of the visitor.
Note
Show the facebook fanpage in the right blod sidebar
Statistics & Tracking
Affiliate program
Conversion and usertracking via Google Tag Manager
Track device being used
| Item number | Size | Datasheet | Manual | SDS | Delivery time | Quantity | Price |
|---|---|---|---|---|---|---|---|
| NSJ-FY12571 | 100 µg | - | - |
3 - 10 business days* |
790.00€
|
If you have any questions, please use our Contact Form.
You can also order by e-mail: info@biomol.com
Larger quantity required? Request bulk
You can also order by e-mail: info@biomol.com
Larger quantity required? Request bulk
Adding 0.2 ml of distilled water will yield a concentration of 500 ug/ml. RTRAF antibody detects... more
Product information "Anti-RTRAF / hCLE"
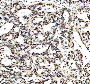
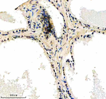
Adding 0.2 ml of distilled water will yield a concentration of 500 ug/ml. RTRAF antibody detects RNA transcription, translation, and transport factor, a multifunctional RNA-binding protein involved in mRNA export, transcriptional regulation, and translation initiation. RTRAF interacts with transcription machinery and translation factors, serving as a molecular bridge that coordinates gene expression at multiple levels. The RTRAF antibody is used in RNA biology, gene expression, and epigenetic studies to investigate transcriptional and post-transcriptional regulation.RTRAF is encoded by the RTRAF gene located on human chromosome 17q23.3. The protein is approximately 375 amino acids long and localizes to both the nucleus and cytoplasm, reflecting its diverse functions. It forms complexes with RNA polymerase II, transcription elongation factors, and RNA helicases, linking transcription with RNA processing and export. RTRAF also associates with translation initiation factor eIF3, regulating mRNA translation efficiency.The RTRAF antibody detects a 43 kilodalton band by western blot and demonstrates both nuclear speckle and cytoplasmic punctate staining in immunofluorescence assays. RTRAF participates in gene expression control by influencing promoter clearance, mRNA splicing, and ribosome loading. Its loss disrupts RNA metabolism, leading to reduced protein synthesis and altered stress granule dynamics.Functionally, RTRAF has been linked to viral replication, as it enhances viral RNA translation and replication complex assembly in infected cells. In cancer, RTRAF expression correlates with increased proliferation and tumor aggressiveness due to its role in sustaining translation of growth-related mRNAs. It also contributes to chromatin organization by interacting with histone modifiers and transcriptional regulators.Through its integration of transcription, RNA transport, and translation, RTRAF acts as a key coordinator of gene expression homeostasis. NSJ Bioreagents provides a validated RTRAF antibody optimized for its applications, enabling in-depth study of RNA processing, translation control, and gene regulation under physiological and pathological conditions.
| Keywords: | Anti-RTRAF, Anti-CLE7 homolog, Anti-RNA transcription, translation and transport factor protein, RTRAF Antibody / hCLE |
| Supplier: | NSJ Bioreagents |
| Supplier-Nr: | FY12571 |
Properties
| Application: | WB, IHC, ICC/IF, ELISA |
| Antibody Type: | Polyclonal |
| Conjugate: | No |
| Host: | Rabbit |
| Species reactivity: | human, mouse, rat |
| Immunogen: | E.coli-derived human C14orf166/RTRAF recombinant protein (Position: M1-R244) |
| Format: | Purified |
Database Information
| KEGG ID : | K15433 | Matching products |
| UniProt ID : | Q9Y224 | Matching products |
| Gene ID : | GeneID 51637 | Matching products |
Handling & Safety
| Storage: | +4°C |
| Shipping: | +4°C (International: +4°C) |
Caution
Our products are for laboratory research use only: Not for administration to humans!
Our products are for laboratory research use only: Not for administration to humans!
Information about the product reference will follow.
more
You will get a certificate here
Viewed