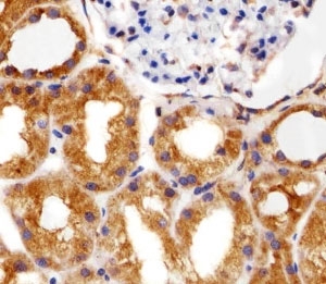
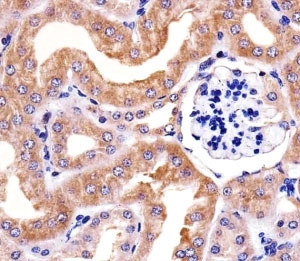
Anti-RPS6, clone 981CT2.1.1

Item number Size Datasheet Manual SDS Delivery time Quantity Price
NSJ-F52532-0.08ML 80 µl - -

3 - 10 business days*

361.00€
NSJ-F52532-0.4ML 400 µl - -

3 - 10 business days*

772.00€
 
In 1X PBS, pH 7.4, with 0.09% sodium azide. May play an important role in controlling cell growth... more
Product information "Anti-RPS6, clone 981CT2.1.1"
In 1X PBS, pH 7.4, with 0.09% sodium azide. May play an important role in controlling cell growth and proliferation through the selective translation of particular classes of mRNA. Protein function: May play an important role in controlling cell growth and proliferation through the selective translation of particular classes of mRNA. [The UniProt Consortium]
Keywords: Anti-RPS6, Anti-Phosphoprotein NP33, Anti-40S ribosomal protein S6, RPS6 Antibody
Supplier: NSJ Bioreagents
Supplier-Nr: F52532

Properties

Application: IHC, WB, FC, IF, ELISA
Antibody Type: Monoclonal
Clone: 981CT2.1.1
Conjugate: No
Host: Mouse
Species reactivity: human, rat
Immunogen: This RPS6 antibody was produced from a mouse immunized with RPS6 recombinant protein.
Format: Purified

Handling & Safety

Storage: -20°C
Shipping: +4°C (International: +4°C)
Caution
Our products are for laboratory research use only: Not for administration to humans!
You will get a certificate here
or to request a certificate of analysis.
Read, write and discuss reviews... more
Customer review for "Anti-RPS6, clone 981CT2.1.1"
Write a review
or to review a product.
Viewed