Cookie preferences
This website uses cookies, which are necessary for the technical operation of the website and are always set. Other cookies, which increase the comfort when using this website, are used for direct advertising or to facilitate interaction with other websites and social networks, are only set with your consent.
Configuration
Technically required
These cookies are necessary for the basic functions of the shop.
"Allow all cookies" cookie
"Decline all cookies" cookie
CSRF token
Cookie preferences
Currency change
Customer-specific caching
FACT-Finder tracking
Individual prices
Selected shop
Session
Comfort functions
These cookies are used to make the shopping experience even more appealing, for example for the recognition of the visitor.
Note
Show the facebook fanpage in the right blod sidebar
Statistics & Tracking
Affiliate program
Conversion and usertracking via Google Tag Manager
Track device being used
| Item number | Size | Datasheet | Manual | SDS | Delivery time | Quantity | Price |
|---|---|---|---|---|---|---|---|
| NSJ-RQ6681 | 100 µg | - | - |
3 - 10 business days* |
790.00€
|
If you have any questions, please use our Contact Form.
You can also order by e-mail: info@biomol.com
Larger quantity required? Request bulk
You can also order by e-mail: info@biomol.com
Larger quantity required? Request bulk
0.5mg/ml if reconstituted with 0.2ml sterile DI water. 60S ribosomal protein L29 is a protein... more
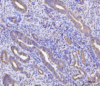
Product information "Anti-RPL29 / 60S ribosomal protein L29"
0.5mg/ml if reconstituted with 0.2ml sterile DI water. 60S ribosomal protein L29 is a protein that in humans is encoded by the RPL29 gene. Ribosomes, the organelles that catalyze protein synthesis, consist of a small 40S subunit and a large 60S subunit. Together these subunits are composed of 4 RNA species and approximately 80 structurally distinct proteins. This gene encodes a cytoplasmic ribosomal protein that is a component of the 60S subunit. The protein belongs to the L29E family of ribosomal proteins. The protein is also a peripheral membrane protein expressed on the cell surface that directly binds heparin. Although this gene was previously reported to map to 3q29-qter, it is believed that it is located at 3p21.3-p21.2. As is typical for genes encoding ribosomal proteins, there are multiple processed pseudogenes of this gene dispersed through the genome. Protein function: Component of the large ribosomal subunit (PubMed:12962325, PubMed:23636399, PubMed:32669547). The ribosome is a large ribonucleoprotein complex responsible for the synthesis of proteins in the cell (PubMed:12962325, PubMed:23636399, PubMed:32669547). [The UniProt Consortium]
| Keywords: | Anti-RPL29, Anti-60S ribosomal protein L29, Anti-Large ribosomal subunit protein eL29, Anti-Cell surface heparin-binding protein HIP, RPL29 Antibody / 60S ribosomal protein L29 |
| Supplier: | NSJ Bioreagents |
| Supplier-Nr: | RQ6681 |
Properties
| Application: | WB, IHC (paraffin), IF, FC, Direct ELISA |
| Antibody Type: | Polyclonal |
| Conjugate: | No |
| Host: | Rabbit |
| Species reactivity: | human, mouse, rat, monkey |
| Immunogen: | Recombinant human protein (amino acids Q27-A153) |
| Format: | Translation |
Database Information
| KEGG ID : | K02905 | Matching products |
| UniProt ID : | P47914 | Matching products |
| Gene ID : | GeneID 6159 | Matching products |
Handling & Safety
| Storage: | +4°C |
| Shipping: | +4°C (International: +4°C) |
Caution
Our products are for laboratory research use only: Not for administration to humans!
Our products are for laboratory research use only: Not for administration to humans!
Information about the product reference will follow.
more
You will get a certificate here
Viewed