This website uses cookies, which are necessary for the technical operation of the website and are always set. Other cookies, which increase the comfort when using this website, are used for direct advertising or to facilitate interaction with other websites and social networks, are only set with your consent.
Configuration
Technically required
These cookies are necessary for the basic functions of the shop.
"Allow all cookies" cookie
"Decline all cookies" cookie
CSRF token
Cookie preferences
Currency change
Customer-specific caching
FACT-Finder tracking
Individual prices
Selected shop
Session
Comfort functions
These cookies are used to make the shopping experience even more appealing, for example for the recognition of the visitor.
Note
Show the facebook fanpage in the right blod sidebar
Statistics & Tracking
Affiliate program
Conversion and usertracking via Google Tag Manager
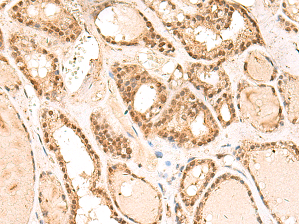
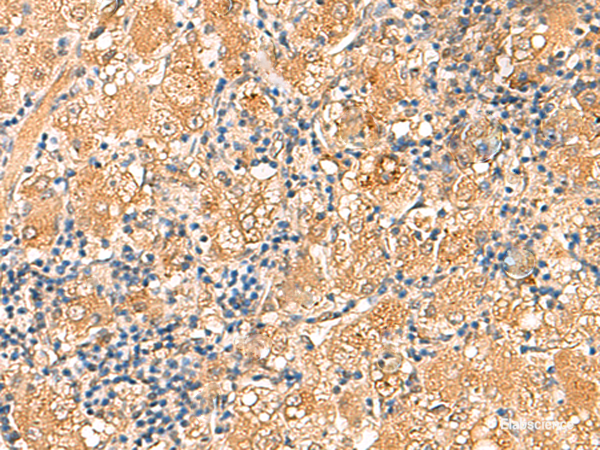
Ribosomes, the organelles that catalyze protein synthesis, consist of a small 40S subunit and a large 60S subunit. Together these subunits are composed of 4 RNA species and approximately 80 structurally distinct proteins. This gene encodes a member of the L13P family of ribosomal proteins that is a component of the 60S subunit. The encoded protein also plays a role in the repression of inflammatory genes as a component of the IFN-gamma-activated inhibitor of translation (GAIT) complex. This gene is co-transcribed with the small nucleolar RNA genes U32, U33, U34, and U35, which are located in the second, fourth, fifth, and sixth introns, respectively. As is typical for genes encoding ribosomal proteins, there are multiple processed pseudogenes of this gene dispersed throughout the genome. Alternatively spliced transcript variants encoding multiple isoforms have been observed for this gene. Protein function: Associated with ribosomes but is not required for canonical ribosome function and has extra-ribosomal functions. Component of the GAIT (gamma interferon-activated inhibitor of translation) complex which mediates interferon-gamma-induced transcript-selective translation inhibition in inflammation processes. Upon interferon-gamma activation and subsequent phosphorylation dissociates from the ribosome and assembles into the GAIT complex which binds to stem loop-containing GAIT elements in the 3'-UTR of diverse inflammatory mRNAs (such as ceruplasmin) and suppresses their translation. In the GAIT complex interacts with m7G cap-bound eIF4G at or near the eIF3-binding site and blocks the recruitment of the 43S ribosomal complex. Involved in methylation of rRNA. [The UniProt Consortium]
Keywords:
Anti-RPL13A, Anti-60S ribosomal protein L13a, Anti-23 kDa highly basic protein, Anti-Large ribosomal subunit protein uL13, RPL13A Polyclonal Antibody
This website uses cookies, which are necessary for the technical operation of the website and are always set. Other cookies, which increase the usability of this website, serve for direct advertising or simplify interaction with other websites and social networks, will only be used with your consent.
More information