Anti-RNF207

Item number Size Datasheet Manual SDS Delivery time Quantity Price
ABS-KC-1431.50 50 µl - -

Request delivery time estimate

206.00€
ABS-KC-1431.100 100 µl - -

Request delivery time estimate

295.00€
 
Protein function: Plays a role in cardiac repolarization possibly by stabilizing membrane... more
Product information "Anti-RNF207"
Protein function: Plays a role in cardiac repolarization possibly by stabilizing membrane expression of the potassium channel KCNH2/HERG, or by assisting its synthesis, folding or export from the endoplasmic reticulum, in a heat shock protein-dependent manner. [The UniProt Consortium]
Keywords: Anti-RING finger protein 207, RNF207 Antibody
Supplier: Absea
Supplier-Nr: KC-1431

Properties

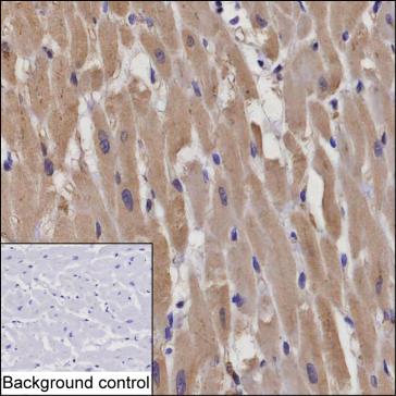
Application: IHC
Antibody Type: Monoclonal
Clone: 8C8
Conjugate: No
Host: Mouse
Species reactivity: human
Immunogen: Recombinant human RNF207
Format: Solution

Database Information

UniProt ID : Q6ZRF8 | Matching products
Gene ID : GeneID 388591 | Matching products

Handling & Safety

Storage: -20°C (avoid repeat freezing and thawing cycles)
Shipping: +4°C (International: +4°C)
Caution
Our products are for laboratory research use only: Not for administration to humans!
Information about the product reference will follow. more
You will get a certificate here
or to request a certificate of analysis.
Read, write and discuss reviews... more
Customer review for "Anti-RNF207"
Write a review
or to review a product.
Viewed