Cookie preferences
This website uses cookies, which are necessary for the technical operation of the website and are always set. Other cookies, which increase the comfort when using this website, are used for direct advertising or to facilitate interaction with other websites and social networks, are only set with your consent.
Configuration
Technically required
These cookies are necessary for the basic functions of the shop.
"Allow all cookies" cookie
"Decline all cookies" cookie
CSRF token
Cookie preferences
Currency change
Customer-specific caching
FACT-Finder tracking
Individual prices
Selected shop
Session
Comfort functions
These cookies are used to make the shopping experience even more appealing, for example for the recognition of the visitor.
Note
Show the facebook fanpage in the right blod sidebar
Statistics & Tracking
Affiliate program
Conversion and usertracking via Google Tag Manager
Track device being used
| Item number | Size | Datasheet | Manual | SDS | Delivery time | Quantity | Price |
|---|---|---|---|---|---|---|---|
| NSJ-RQ7199 | 100 µg | - | - |
3 - 10 business days* |
790.00€
|
If you have any questions, please use our Contact Form.
You can also order by e-mail: info@biomol.com
Larger quantity required? Request bulk
You can also order by e-mail: info@biomol.com
Larger quantity required? Request bulk
0.5mg/ml if reconstituted with 0.2ml sterile DI water. E3 ubiquitin-protein ligase RING2 is an... more
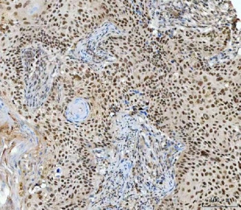
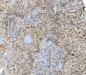
Product information "Anti-RNF2 / RING1B / RING2"
0.5mg/ml if reconstituted with 0.2ml sterile DI water. E3 ubiquitin-protein ligase RING2 is an enzyme that in humans is encoded by the RNF2 gene. Polycomb group (PcG) of proteins form the multiprotein complexes that are important for the transcription repression of various genes involved in development and cell proliferation. The protein encoded by this gene is one of the PcG proteins. It has been shown to interact with, and suppress the activity of, transcription factor CP2 (TFCP2/CP2). Studies of the mouse counterpart suggested the involvement of this gene in the specification of anterior-posterior axis, as well as in cell proliferation in early development. This protein was also found to interact with huntingtin interacting protein 2 (HIP2), an ubiquitin-conjugating enzyme, and possess ubiquitin ligase activity. Protein function: E3 ubiquitin-protein ligase that mediates monoubiquitination of 'Lys-119' of histone H2A (H2AK119Ub), thereby playing a central role in histone code and gene regulation (PubMed:15386022, PubMed:16359901, PubMed:25519132, PubMed:33864376, PubMed:21772249, PubMed:25355358, PubMed:26151332). H2AK119Ub gives a specific tag for epigenetic transcriptional repression and participates in X chromosome inactivation of female mammals. May be involved in the initiation of both imprinted and random X inactivation. Essential component of a Polycomb group (PcG) multiprotein PRC1-like complex, a complex class required to maintain the transcriptionally repressive state of many genes, including Hox genes, throughout development (PubMed:16359901, PubMed:26151332). PcG PRC1 complex acts via chromatin remodeling and modification of histones, rendering chromatin heritably changed in its expressibility (PubMed:26151332). E3 ubiquitin-protein ligase activity is enhanced by BMI1/PCGF4 (PubMed:21772249). Acts as the main E3 ubiquitin ligase on histone H2A of the PRC1 complex, while RING1 may rather act as a modulator of RNF2/RING2 activity (Probable). Association with the chromosomal DNA is cell-cycle dependent. In resting B- and T-lymphocytes, interaction with AURKB leads to block its activity, thereby maintaining transcription in resting lymphocytes. Also acts as a negative regulator of autophagy by mediating ubiquitination of AMBRA1, leading to its subsequent degradation. [The UniProt Consortium]
| Keywords: | Anti-RNF2, Anti-BAP1, Anti-RING1b, Anti-Protein DinG, Anti-RING finger protein 2, Anti-RING finger protein 1B, Anti-RING finger protein BAP-1, Anti-HIP2-interacting protein 3, Anti-E3 ubiquitin-protein ligase RING2, RNF2 Antibody / RING1B / RING2 |
| Supplier: | NSJ Bioreagents |
| Supplier-Nr: | RQ7199 |
Properties
| Application: | WB, IHC (paraffin), Direct ELISA |
| Antibody Type: | Polyclonal |
| Conjugate: | No |
| Host: | Rabbit |
| Species reactivity: | human |
| Immunogen: | Recombinant human protein (amino acids M1-K336) |
| Format: | Posttranslational Mod. |
Database Information
| KEGG ID : | K10695 | Matching products |
| UniProt ID : | Q99496 | Matching products |
| Gene ID : | GeneID 6045 | Matching products |
Handling & Safety
| Storage: | +4°C |
| Shipping: | +4°C (International: +4°C) |
Caution
Our products are for laboratory research use only: Not for administration to humans!
Our products are for laboratory research use only: Not for administration to humans!
Information about the product reference will follow.
more
You will get a certificate here
Viewed