Cookie preferences
This website uses cookies, which are necessary for the technical operation of the website and are always set. Other cookies, which increase the comfort when using this website, are used for direct advertising or to facilitate interaction with other websites and social networks, are only set with your consent.
Configuration
Technically required
These cookies are necessary for the basic functions of the shop.
"Allow all cookies" cookie
"Decline all cookies" cookie
CSRF token
Cookie preferences
Currency change
Customer-specific caching
FACT-Finder tracking
Individual prices
Selected shop
Session
Comfort functions
These cookies are used to make the shopping experience even more appealing, for example for the recognition of the visitor.
Note
Show the facebook fanpage in the right blod sidebar
Statistics & Tracking
Affiliate program
Conversion and usertracking via Google Tag Manager
Track device being used
| Item number | Size | Datasheet | Manual | SDS | Delivery time | Quantity | Price |
|---|---|---|---|---|---|---|---|
| NSJ-FY12200 | 100 µg | - | - |
3 - 10 business days* |
790.00€
|
If you have any questions, please use our Contact Form.
You can also order by e-mail: info@biomol.com
Larger quantity required? Request bulk
You can also order by e-mail: info@biomol.com
Larger quantity required? Request bulk
Adding 0.2 ml of distilled water will yield a concentration of 500 ug/ml. RIGI antibody detects... more
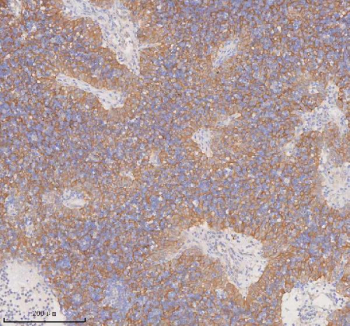
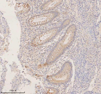
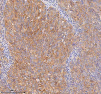
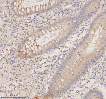
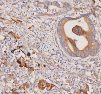
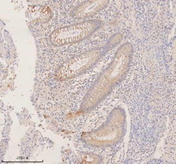
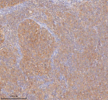
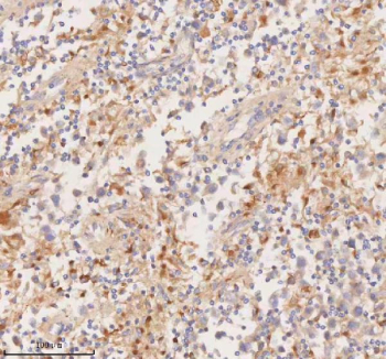
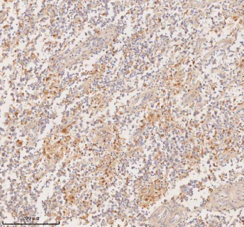
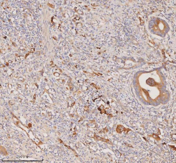
Product information "Anti-RIGI / DDX58"
Adding 0.2 ml of distilled water will yield a concentration of 500 ug/ml. RIGI antibody detects Retinoic acid-inducible gene I protein, encoded by the DDX58 gene on chromosome 9p21. RIGI antibody is widely applied in studies of innate immunity, antiviral defense, and RNA sensing pathways. RIG-I is a cytoplasmic pattern recognition receptor (PRR) belonging to the RIG-I-like receptor (RLR) family, which also includes MDA5 and LGP2. RIG-I detects viral double-stranded RNA with 5'-triphosphate ends and initiates signaling cascades that activate interferon production and antiviral gene expression. Expression is inducible by interferons and viral infection, and is present in a wide range of cell types, especially immune cells and epithelial cells.Structurally, RIG-I contains two N-terminal caspase activation and recruitment domains (CARDs), a central DExD/H-box helicase domain, and a C-terminal regulatory domain that binds RNA. The CARD domains recruit downstream adaptors, while the helicase and regulatory domains bind viral RNA. Conformational changes upon RNA binding expose the CARDs, enabling signaling activation. Post-translational modifications such as ubiquitination regulate RIG-I activation and turnover.Functionally, RIG-I is a critical sensor of viral RNA. Upon binding RNA ligands, it interacts with the mitochondrial antiviral signaling protein (MAVS), initiating signaling through TBK1, IKK epsilon, and IRF3/7, leading to type I interferon production. This antiviral program restricts replication of RNA viruses including influenza, vesicular stomatitis virus, and hepatitis C virus. RIG-I also influences adaptive immunity by modulating dendritic cell maturation and antigen presentation. Researchers employ RIGI antibody to study innate immune sensing, interferon biology, and antiviral responses.Clinically, RIG-I is associated with autoimmune disorders, infectious disease, and cancer. Gain-of-function mutations in DDX58 cause Singleton-Merten syndrome, an autoinflammatory disease with vascular calcification and lupus-like features. Aberrant RIG-I signaling contributes to chronic inflammation and autoimmunity, while defective responses increase susceptibility to viral infections. RIG-I also acts as a tumor suppressor by promoting cell death and interferon responses, but tumors may evade RIG-I signaling. NSJ Bioreagents offers RIGI antibody to support immunology, virology, and oncology research.Experimentally, RIGI antibody is used in western blotting to detect the ~102 kDa protein, in immunofluorescence to study cytoplasmic localization, and in immunohistochemistry to evaluate expression in infected or immune tissues. Co-immunoprecipitation with RIGI antibody identifies MAVS and signaling partners, enabling dissection of antiviral pathways.
| Keywords: | Anti-RIGI, Anti-RNA sensor RIG-I, Anti-DEAD box protein 58, Anti-RIG-I-like receptor 1, Anti-ATP-dependent RNA helicase DDX58, Anti-Retinoic acid-inducible gene I protein, Anti-Retinoic acid-inducible gene 1 protein, Anti-Antiviral innate immune response |
| Supplier: | NSJ Bioreagents |
| Supplier-Nr: | FY12200 |
Properties
| Application: | WB, IHC, FC, ELISA |
| Antibody Type: | Polyclonal |
| Conjugate: | No |
| Host: | Rabbit |
| Species reactivity: | human |
| Immunogen: | E.coli-derived human DDX58/RIG-1 recombinant protein (Position: K203-K925) |
| Format: | Purified |
Database Information
| KEGG ID : | K12646 | Matching products |
| UniProt ID : | O95786 | Matching products |
| Gene ID : | GeneID 23586 | Matching products |
Handling & Safety
| Storage: | +4°C |
| Shipping: | +4°C (International: +4°C) |
Caution
Our products are for laboratory research use only: Not for administration to humans!
Our products are for laboratory research use only: Not for administration to humans!
Information about the product reference will follow.
more
You will get a certificate here
Viewed