This website uses cookies, which are necessary for the technical operation of the website and are always set. Other cookies, which increase the comfort when using this website, are used for direct advertising or to facilitate interaction with other websites and social networks, are only set with your consent.
Configuration
Technically required
These cookies are necessary for the basic functions of the shop.
"Allow all cookies" cookie
"Decline all cookies" cookie
CSRF token
Cookie preferences
Currency change
Customer-specific caching
FACT-Finder tracking
Individual prices
Selected shop
Session
Comfort functions
These cookies are used to make the shopping experience even more appealing, for example for the recognition of the visitor.
Note
Show the facebook fanpage in the right blod sidebar
Statistics & Tracking
Affiliate program
Conversion and usertracking via Google Tag Manager
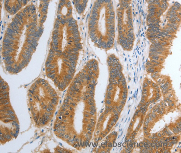
This gene is a member of the small GTPase superfamily and encodes a lipid-anchored, cell membrane protein with five repeats of the RAS-related GTP-binding region. This protein is vital in regulation of growth and cell cycle progression due to its role in the insulin/TOR/S6K signaling pathway. The protein has GTPase activity and shuttles between a GDP-bound form and a GTP-bound form, and farnesylation of the protein is required for this activity. Three pseudogenes have been mapped, two on chromosome 10 and one on chromosome 22. Protein function: Activates the protein kinase activity of mTORC1, and thereby plays a role in the regulation of apoptosis. Stimulates the phosphorylation of S6K1 and EIF4EBP1 through activation of mTORC1 signaling. Has low intrinsic GTPase activity. [The UniProt Consortium]
Keywords:
Anti-RHEB, Anti-RHEB2, Anti-GTP-binding protein Rheb, Anti-Ras homolog enriched in brain, RHEB Polyclonal Antibody
This website uses cookies, which are necessary for the technical operation of the website and are always set. Other cookies, which increase the usability of this website, serve for direct advertising or simplify interaction with other websites and social networks, will only be used with your consent.
More information