Cookie preferences
This website uses cookies, which are necessary for the technical operation of the website and are always set. Other cookies, which increase the comfort when using this website, are used for direct advertising or to facilitate interaction with other websites and social networks, are only set with your consent.
Configuration
Technically required
These cookies are necessary for the basic functions of the shop.
"Allow all cookies" cookie
"Decline all cookies" cookie
CSRF token
Cookie preferences
Currency change
Customer-specific caching
FACT-Finder tracking
Individual prices
Selected shop
Session
Comfort functions
These cookies are used to make the shopping experience even more appealing, for example for the recognition of the visitor.
Note
Show the facebook fanpage in the right blod sidebar
Statistics & Tracking
Affiliate program
Conversion and usertracking via Google Tag Manager
Track device being used
| Item number | Size | Datasheet | Manual | SDS | Delivery time | Quantity | Price |
|---|---|---|---|---|---|---|---|
| ARG59045.50 | 50 µg | - | - |
6 - 14 business days* |
551.00€
|
If you have any questions, please use our Contact Form.
You can also order by e-mail: info@biomol.com
Larger quantity required? Request bulk
You can also order by e-mail: info@biomol.com
Larger quantity required? Request bulk
Protein function: RNA-dependent helicase and ATPase required for nonsense- mediated decay (NMD)... more
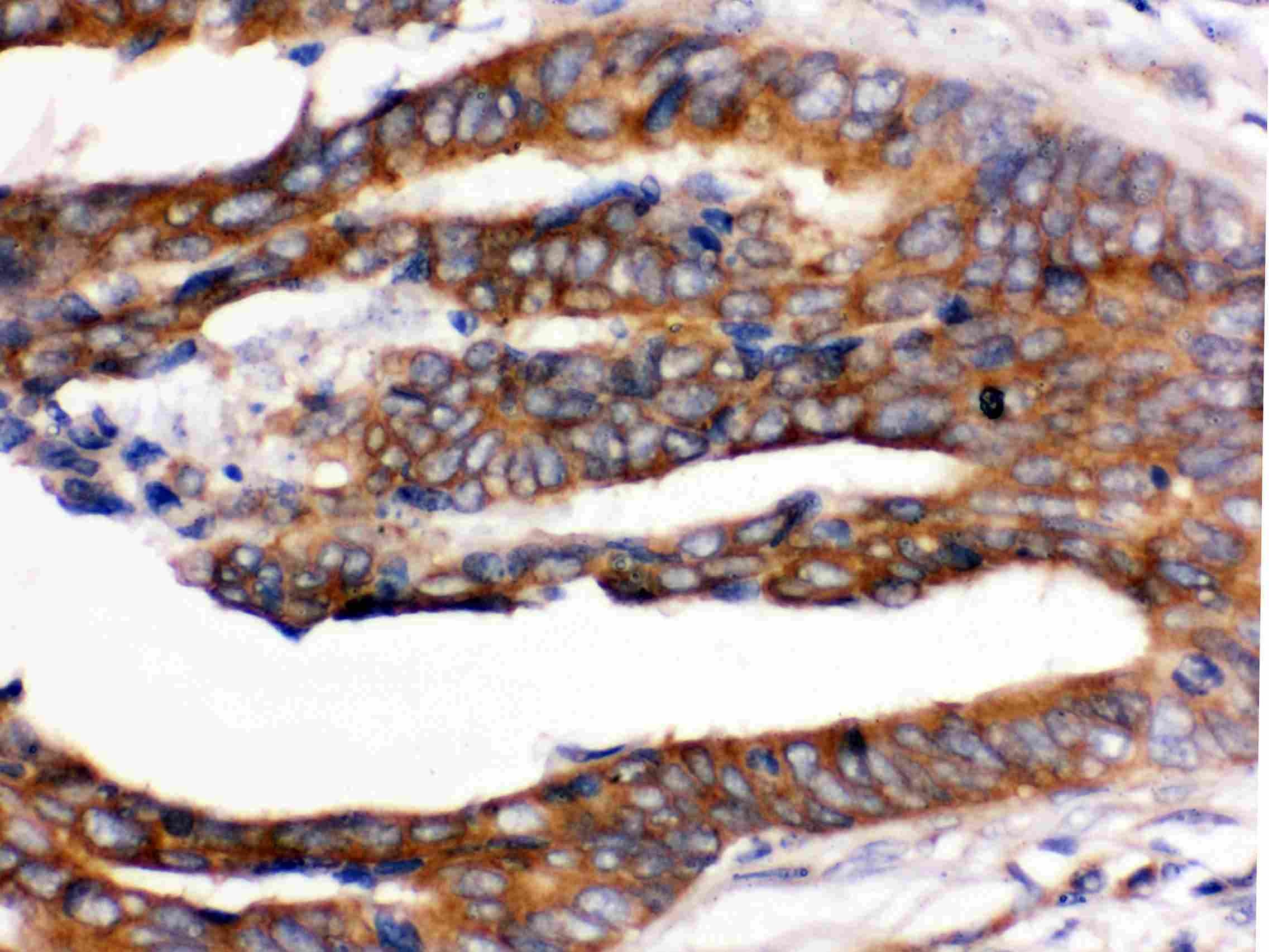
Product information "Anti-RENT1 / hUPF1"
Protein function: RNA-dependent helicase and ATPase required for nonsense- mediated decay (NMD) of mRNAs containing premature stop codons. Is recruited to mRNAs upon translation termination and undergoes a cycle of phosphorylation and dephosphorylation, its phosphorylation appears to be a key step in NMD. Recruited by release factors to stalled ribosomes together with the SMG1C protein kinase complex to form the transient SURF (SMG1-UPF1-eRF1- eRF3) complex. In EJC-dependent NMD, the SURF complex associates with the exon junction complex (EJC) (located 50-55 or more nucleotides downstream from the termination codon) through UPF2 and allows the formation of an UPF1-UPF2-UPF3 surveillance complex which is believed to activate NMD. Phosphorylated UPF1 is recognized by EST1B/SMG5, SMG6 and SMG7 which are thought to provide a link to the mRNA degradation machinery involving exonucleolytic and endonucleolytic pathways, and to serve as adapters to protein phosphatase 2A (PP2A), thereby triggering UPF1 dephosphorylation and allowing the recycling of NMD factors. UPF1 can also activate NMD without UPF2 or UPF3, and in the absence of the NMD-enhancing downstream EJC indicative for alternative NMD pathways. Plays a role in replication-dependent histone mRNA degradation at the end of phase S, the function is independent of UPF2. For the recognition of premature termination codons (PTC) and initiation of NMD a competitive interaction between UPF1 and PABPC1 with the ribosome-bound release factors is proposed. The ATPase activity of UPF1 is required for disassembly of mRNPs undergoing NMD. Essential for embryonic viability. [The UniProt Consortium]
| Keywords: | Anti-UPF1, Anti-NORF1, Anti-hUpf1, Anti-KIAA0221, EC=3.6.4.-, Anti-ATP-dependent helicase RENT1, Anti-Nonsense mRNA reducing factor 1, Anti-Up-frameshift suppressor 1 homolog, Anti-Regulator of nonsense transcripts 1 |
| Supplier: | Arigo Biolaboratories |
| Supplier-Nr: | ARG59045 |
Properties
| Application: | IHC (paraffin), WB |
| Antibody Type: | Polyclonal |
| Conjugate: | No |
| Host: | Rabbit |
| Species reactivity: | human, mouse, rat (Expected: chicken) |
| Immunogen: | Synthetic peptide corresponding to aa. 578-614 of Human RENT1 / hUPF1 (NMDSMPELQKLQQLKDETGELSSADEKRYRALKRT AE) |
| MW: | 124 kD |
| Format: | Antigen Affinity Purified |
Database Information
| KEGG ID : | K14326 | Matching products |
| UniProt ID : | Q92900 | Matching products |
| Gene ID : | GeneID 5976 | Matching products |
Handling & Safety
| Storage: | -20°C |
| Shipping: | +4°C (International: °C) |
Caution
Our products are for laboratory research use only: Not for administration to humans!
Our products are for laboratory research use only: Not for administration to humans!
Information about the product reference will follow.
more
You will get a certificate here
Viewed