Cookie preferences
This website uses cookies, which are necessary for the technical operation of the website and are always set. Other cookies, which increase the comfort when using this website, are used for direct advertising or to facilitate interaction with other websites and social networks, are only set with your consent.
Configuration
Technically required
These cookies are necessary for the basic functions of the shop.
"Allow all cookies" cookie
"Decline all cookies" cookie
CSRF token
Cookie preferences
Currency change
Customer-specific caching
FACT-Finder tracking
Individual prices
Selected shop
Session
Comfort functions
These cookies are used to make the shopping experience even more appealing, for example for the recognition of the visitor.
Note
Show the facebook fanpage in the right blod sidebar
Statistics & Tracking
Affiliate program
Conversion and usertracking via Google Tag Manager
Track device being used
| Item number | Size | Datasheet | Manual | SDS | Delivery time | Quantity | Price |
|---|---|---|---|---|---|---|---|
| NSJ-R32980 | 100 µg | - | - |
3 - 10 business days* |
790.00€
|
If you have any questions, please use our Contact Form.
You can also order by e-mail: info@biomol.com
Larger quantity required? Request bulk
You can also order by e-mail: info@biomol.com
Larger quantity required? Request bulk
0.5mg/ml if reconstituted with 0.2ml sterile DI water. Relaxin 1 is a member of relaxin-like... more
Product information "Anti-Relaxin / RLN1"
0.5mg/ml if reconstituted with 0.2ml sterile DI water. Relaxin 1 is a member of relaxin-like peptide family. Relaxin gene maps to human chromosome 19 near D19Mit23. Relaxin is a peptide hormone produced by the corpora lutea of ovaries during pregnancy in many mammalian species, including man. Relaxin widens the pubic bone and facilitates labor, it also softens the cervix (cervical ripening), and relaxes the uterine musculature. However, its significance may reach much further. Relaxin affects collagen metabolism, inhibiting collagen synthesis and enhancing its breakdown by increasing matrix metalloproteinases. It also enhances angiogenesis and is a potent renal vasodilator. Protein function: Relaxin is an ovarian hormone that acts with estrogen to produce dilatation of the birth canal in many mammals. May be involved in remodeling of connective tissues during pregnancy, promoting growth of pubic ligaments and ripening of the cervix. [The UniProt Consortium]
| Keywords: | Anti-RLN1, Relaxin Antibody / RLN1 |
| Supplier: | NSJ Bioreagents |
| Supplier-Nr: | R32980 |
Properties
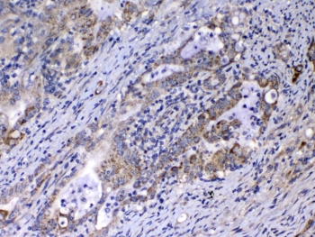
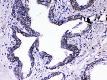
| Application: | WB, IHC (paraffin) |
| Antibody Type: | Polyclonal |
| Conjugate: | No |
| Host: | Rabbit |
| Species reactivity: | human, rat |
| Immunogen: | Amino acids VAAKWKDDVIKLCGRELVRAQIAICGMSTWS were used as the immunogen for the Relaxin antibody. |
| Format: | Purified |
Database Information
| KEGG ID : | K21998 | Matching products |
| UniProt ID : | P04808 | Matching products |
| Gene ID : | GeneID 6013 | Matching products |
Handling & Safety
| Storage: | +4°C |
| Shipping: | +4°C (International: +4°C) |
Caution
Our products are for laboratory research use only: Not for administration to humans!
Our products are for laboratory research use only: Not for administration to humans!
Information about the product reference will follow.
more
You will get a certificate here
Viewed