Cookie preferences
This website uses cookies, which are necessary for the technical operation of the website and are always set. Other cookies, which increase the comfort when using this website, are used for direct advertising or to facilitate interaction with other websites and social networks, are only set with your consent.
Configuration
Technically required
These cookies are necessary for the basic functions of the shop.
"Allow all cookies" cookie
"Decline all cookies" cookie
CSRF token
Cookie preferences
Currency change
Customer-specific caching
FACT-Finder tracking
Individual prices
Selected shop
Session
Comfort functions
These cookies are used to make the shopping experience even more appealing, for example for the recognition of the visitor.
Note
Show the facebook fanpage in the right blod sidebar
Statistics & Tracking
Affiliate program
Conversion and usertracking via Google Tag Manager
Track device being used
| Item number | Size | Datasheet | Manual | SDS | Delivery time | Quantity | Price |
|---|---|---|---|---|---|---|---|
| E-AN301892L.50 | 50 µl | - |
7 - 16 business days* |
304.00€
|
|||
| E-AN301892L.100 | 100 µl | - |
7 - 16 business days* |
464.00€
|
If you have any questions, please use our Contact Form.
You can also order by e-mail: info@biomol.com
Larger quantity required? Request bulk
You can also order by e-mail: info@biomol.com
Larger quantity required? Request bulk
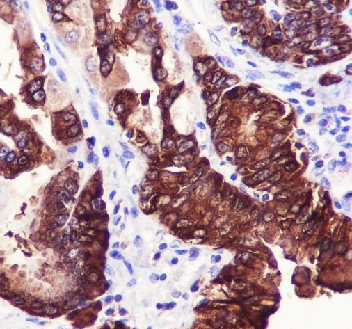
TFF1/pS2 is a gastric peptide that is highly expressed by mucosal goblet cells of the stomach,... more
Product information "Anti-Recombinant TFF1/pS2, clone A608"
TFF1/pS2 is a gastric peptide that is highly expressed by mucosal goblet cells of the stomach, where it is thought to play a role in maintaining the integrity of the epithelial layer of the mucosa through the regulation of cell-cell adhesion and cell migration. Research studies have shown that TFF1 functions as a tumor suppressor in the stomach as its expression is frequently lost in gastric carcinomas, largely due to promoter hypermethylation. Research studies have also demonstrated that TFF1 is a transcriptional target of estrogen receptor-alpha and that TFF1 expression in breast carcinoma may be used as a predictive biomarker for response to anti-estrogen therapy.
| Keywords: | Anti-TFF1, Anti-PNR-2, Anti-Protein pS2, Anti-Polypeptide P1.A, Anti-Trefoil factor 1, Anti-Breast cancer estrogen-inducible protein, Recombinant TFF1/pS2 Monoclonal Antibody |
| Supplier: | Elabscience |
| Supplier-Nr: | E-AN301892L |
Properties
| Application: | WB, IHC |
| Antibody Type: | Monoclonal |
| Clone: | A608 |
| Conjugate: | No |
| Host: | Rabbit |
| Species reactivity: | human |
| Immunogen: | Recombinant human TFF1/pS2 fragment |
| MW: | 13 kD |
Database Information
| KEGG ID : | K22456 | Matching products |
| UniProt ID : | P04155 | Matching products |
| Gene ID : | GeneID 7031 | Matching products |
Handling & Safety
| Storage: | -20°C |
| Shipping: | -20°C (International: -20°C) |
| Signal Word: | Warning |
| GHS Hazard Pictograms: |
|
| H Phrases: | H317 |
| P Phrases: | P261, P272, P280, P302+352, P333+313 |
Caution
Our products are for laboratory research use only: Not for administration to humans!
Our products are for laboratory research use only: Not for administration to humans!
Information about the product reference will follow.
more
You will get a certificate here
Viewed