Cookie preferences
This website uses cookies, which are necessary for the technical operation of the website and are always set. Other cookies, which increase the comfort when using this website, are used for direct advertising or to facilitate interaction with other websites and social networks, are only set with your consent.
Configuration
Technically required
These cookies are necessary for the basic functions of the shop.
"Allow all cookies" cookie
"Decline all cookies" cookie
CSRF token
Cookie preferences
Currency change
Customer-specific caching
FACT-Finder tracking
Individual prices
Selected shop
Session
Comfort functions
These cookies are used to make the shopping experience even more appealing, for example for the recognition of the visitor.
Note
Show the facebook fanpage in the right blod sidebar
Statistics & Tracking
Affiliate program
Conversion and usertracking via Google Tag Manager
Track device being used
| Item number | Size | Datasheet | Manual | SDS | Delivery time | Quantity | Price |
|---|---|---|---|---|---|---|---|
| E-AN301990L.50 | 50 µl | - |
7 - 16 business days* |
304.00€
|
|||
| E-AN301990L.100 | 100 µl | - |
7 - 16 business days* |
464.00€
|
If you have any questions, please use our Contact Form.
You can also order by e-mail: info@biomol.com
Larger quantity required? Request bulk
You can also order by e-mail: info@biomol.com
Larger quantity required? Request bulk
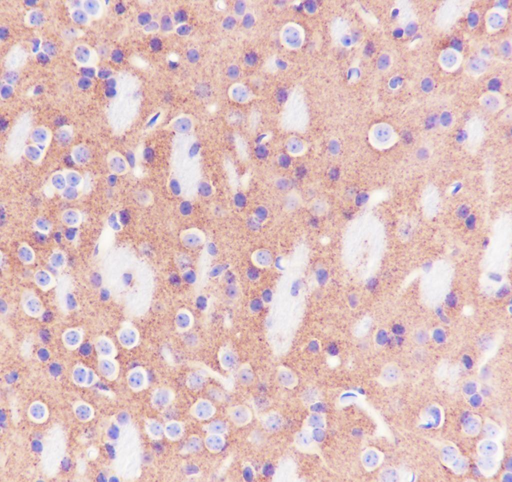
SV2s are a family of synaptic vesicle proteins expressed in both neurons and endocrine cells.... more
Product information "Anti-Recombinant SV2A, clone A710"
SV2s are a family of synaptic vesicle proteins expressed in both neurons and endocrine cells. SV2s function in the regulation of synaptic vesicle traffic, cytoplasmic Ca2+ levels in the nerve terminal during repetitive stimulation and the facilitation of synaptic transmission. There are three isoforms of SV2: SV2A, SV2B and SV2C. Each of these isoforms are structured similarly but expressed varyingly. SV2C, a minor isoform of SV2, expressed in a small subset of neurons located within the basal forebrain, midbrain and brainstem. SV2B, a major isoform of SV2 is expressed more abundantly, although rarely without the coexpression of SV2A. SV2A, the other major isoform of SV2 is the most widely expressed. SV2A is located in the presynaptic nerve terminals of almost every neuron throughout the nervous system. In addition, it is also located in most neuroendocrine secretory granules. SV2A has been identified as a critical protein for proper function of the central nervous system and has been linked to the physiopathology of epilepsy. In addition to the epileptic affects of this protein, mutations in it have also been seen to result in schizophrenia.
| Keywords: | Anti-SV2A, Anti-Synaptic vesicle glycoprotein 2A, Recombinant SV2A Monoclonal Antibody |
| Supplier: | Elabscience |
| Supplier-Nr: | E-AN301990L |
Properties
| Application: | WB, IHC |
| Antibody Type: | Monoclonal |
| Clone: | A710 |
| Conjugate: | No |
| Host: | Rabbit |
| Species reactivity: | human, rat, mouse |
| Immunogen: | Recombinant fragment |
| MW: | 100 kD |
Database Information
| KEGG ID : | K06258 | Matching products |
| UniProt ID : | Q7L0J3 | Matching products |
| Gene ID : | GeneID 9900 | Matching products |
Handling & Safety
| Storage: | -20°C |
| Shipping: | -20°C (International: -20°C) |
| Signal Word: | Warning |
| GHS Hazard Pictograms: |
|
| H Phrases: | H317 |
| P Phrases: | P261, P272, P280, P302+352, P333+313 |
Caution
Our products are for laboratory research use only: Not for administration to humans!
Our products are for laboratory research use only: Not for administration to humans!
Information about the product reference will follow.
more
You will get a certificate here
Viewed