Cookie preferences
This website uses cookies, which are necessary for the technical operation of the website and are always set. Other cookies, which increase the comfort when using this website, are used for direct advertising or to facilitate interaction with other websites and social networks, are only set with your consent.
Configuration
Technically required
These cookies are necessary for the basic functions of the shop.
"Allow all cookies" cookie
"Decline all cookies" cookie
CSRF token
Cookie preferences
Currency change
Customer-specific caching
FACT-Finder tracking
Individual prices
Selected shop
Session
Comfort functions
These cookies are used to make the shopping experience even more appealing, for example for the recognition of the visitor.
Note
Show the facebook fanpage in the right blod sidebar
Statistics & Tracking
Affiliate program
Conversion and usertracking via Google Tag Manager
Track device being used
| Item number | Size | Datasheet | Manual | SDS | Delivery time | Quantity | Price |
|---|---|---|---|---|---|---|---|
| E-AN301727L.50 | 50 µl | - |
7 - 16 business days* |
304.00€
|
|||
| E-AN301727L.100 | 100 µl | - |
7 - 16 business days* |
464.00€
|
If you have any questions, please use our Contact Form.
You can also order by e-mail: info@biomol.com
Larger quantity required? Request bulk
You can also order by e-mail: info@biomol.com
Larger quantity required? Request bulk
NAD-dependent protein deacetylase sirtuin-2 (SIRT2) is a NAD-dependent protein deacetylase, which... more
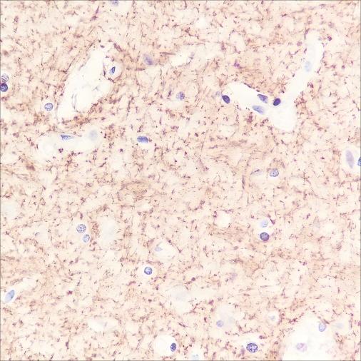
Product information "Anti-Recombinant SIRT2, clone A435"
NAD-dependent protein deacetylase sirtuin-2 (SIRT2) is a NAD-dependent protein deacetylase, which deacetylates internal lysines on histone and alpha-tubulin as well as many other proteins such as key transcription factors. SIRT2 participates in the modulation of multiple and diverse biological processes such as cell cycle control, genomic integrity, microtubule dynamics, cell differentiation, metabolic networks, and autophagy. SIRT2 plays a major role in the control of cell cycle progression and genomic stability. It also functions in the antephase checkpoint preventing precocious mitotic entry in response to microtubule stress agents, and hence allowing proper inheritance of chromosomes.
| Keywords: | Anti-SIRT2, Anti-SIR2-like protein 2, Anti-Regulatory protein SIR2 homolog 2, Anti-NAD-dependent protein deacetylase sirtuin-2, Anti-NAD-dependent protein defatty-acylase sirtuin-2, Recombinant SIRT2 Monoclonal Antibody |
| Supplier: | Elabscience |
| Supplier-Nr: | E-AN301727L |
Properties
| Application: | WB, IHC |
| Antibody Type: | Monoclonal |
| Clone: | A435 |
| Conjugate: | No |
| Host: | Rabbit |
| Species reactivity: | human, rat, mouse |
| Immunogen: | Recombinant human SIRT2 fragment |
| MW: | 36, 43 kD |
Database Information
| KEGG ID : | K11412 | Matching products |
| UniProt ID : | Q8IXJ6 | Matching products |
| Gene ID : | GeneID 22933 | Matching products |
Handling & Safety
| Storage: | -20°C |
| Shipping: | -20°C (International: -20°C) |
| Signal Word: | Warning |
| GHS Hazard Pictograms: |
|
| H Phrases: | H317 |
| P Phrases: | P261, P272, P280, P302+352, P333+313 |
Caution
Our products are for laboratory research use only: Not for administration to humans!
Our products are for laboratory research use only: Not for administration to humans!
Information about the product reference will follow.
more
You will get a certificate here
Viewed