Anti-Recombinant PGRMC2, clone A642

Item number Size Datasheet Manual SDS Delivery time Quantity Price
E-AN301926L.50 50 µl -

7 - 16 business days*

304.00€
E-AN301926L.100 100 µl -

7 - 16 business days*

464.00€
 
Membrane-associated progesterone receptor component 2 (PGRMC2), also known as DG6 or PMBP,... more
Product information "Anti-Recombinant PGRMC2, clone A642"
Membrane-associated progesterone receptor component 2 (PGRMC2), also known as DG6 or PMBP, belongs to the cytochrome b5 family. This protein might play a role in cancer. The gene of PGRMC2 maps to chromosome 4q26, and encodes a 223-amino acid single-pass membrane protein with a cytochrome b5 heme-binding domain in its cytoplasmic domain. PGRMC2 has a calculated molecular weight of 24 kDa.
Keywords: Anti-PGRMC2, Anti-Steroid receptor protein DG6, Anti-Progesterone membrane-binding protein, Anti-Membrane-associated progesterone receptor component 2, Recombinant PGRMC2 Monoclonal Antibody
Supplier: Elabscience
Supplier-Nr: E-AN301926L

Properties

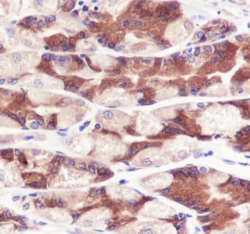
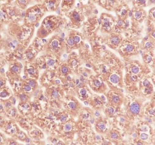
Application: WB, IHC
Antibody Type: Monoclonal
Clone: A642
Conjugate: No
Host: Rabbit
Species reactivity: human, rat, mouse
Immunogen: Recombinant human PGRMC2 fragment
MW: 24 kD

Handling & Safety

Storage: -20°C
Shipping: -20°C (International: -20°C)
Signal Word: Warning
GHS Hazard Pictograms:
H Phrases: H317
P Phrases: P261, P272, P280, P302+352, P333+313
Caution
Our products are for laboratory research use only: Not for administration to humans!
You will get a certificate here
or to request a certificate of analysis.
Read, write and discuss reviews... more
Customer review for "Anti-Recombinant PGRMC2, clone A642"
Write a review
or to review a product.
Viewed