Anti-Recombinant Pan-Actin, clone A321

Item number Size Datasheet Manual SDS Delivery time Quantity Price
E-AN301618L.50 50 µl -

7 - 16 business days*

304.00€
E-AN301618L.100 100 µl -

7 - 16 business days*

464.00€
 
Actins are highly conserved proteins that are involved in various types of cell motility and are... more
Product information "Anti-Recombinant Pan-Actin, clone A321"
Actins are highly conserved proteins that are involved in various types of cell motility and are ubiquitously expressed in all eukaryotic cells.In vertebrates 3 main groups of actin isoforms, alpha, beta and gamma have been identified. The alpha actins are found in muscle tissues and are a major constituent of the contractile apparatus. The beta and gamma actins coexist in most cell types as components of the cytoskeleton and as mediators of internal cell motility.
Keywords: Anti-ACTB, Anti-Beta-actin, Anti-Actin, cytoplasmic 1, Recombinant Pan-Actin Monoclonal Antibody
Supplier: Elabscience
Supplier-Nr: E-AN301618L

Properties

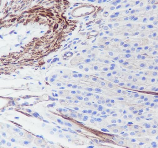
Application: WB, IHC, IF, FCM
Antibody Type: Monoclonal
Clone: A321
Conjugate: No
Host: Rabbit
Species reactivity: human, rat, mouse
Immunogen: Recombinant human Pan-Actin fragment
MW: 42 kD

Handling & Safety

Storage: -20°C
Shipping: -20°C (International: -20°C)
Signal Word: Warning
GHS Hazard Pictograms:
H Phrases: H317
P Phrases: P261, P272, P280, P302+352, P333+313
Caution
Our products are for laboratory research use only: Not for administration to humans!
You will get a certificate here
or to request a certificate of analysis.
Read, write and discuss reviews... more
Customer review for "Anti-Recombinant Pan-Actin, clone A321"
Write a review
or to review a product.
Viewed