Cookie preferences
This website uses cookies, which are necessary for the technical operation of the website and are always set. Other cookies, which increase the comfort when using this website, are used for direct advertising or to facilitate interaction with other websites and social networks, are only set with your consent.
Configuration
Technically required
These cookies are necessary for the basic functions of the shop.
"Allow all cookies" cookie
"Decline all cookies" cookie
CSRF token
Cookie preferences
Currency change
Customer-specific caching
FACT-Finder tracking
Individual prices
Selected shop
Session
Comfort functions
These cookies are used to make the shopping experience even more appealing, for example for the recognition of the visitor.
Note
Show the facebook fanpage in the right blod sidebar
Statistics & Tracking
Affiliate program
Conversion and usertracking via Google Tag Manager
Track device being used
| Item number | Size | Datasheet | Manual | SDS | Delivery time | Quantity | Price |
|---|---|---|---|---|---|---|---|
| E-AN301363L.100 | 100 µl | - |
7 - 16 business days* |
391.00€
|
If you have any questions, please use our Contact Form.
You can also order by e-mail: info@biomol.com
Larger quantity required? Request bulk
You can also order by e-mail: info@biomol.com
Larger quantity required? Request bulk
The protein encoded by this gene belongs to a family of phosphatidylinositol kinase-related... more
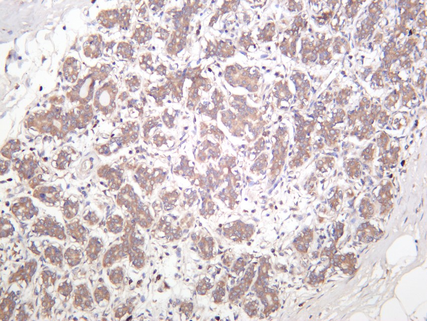
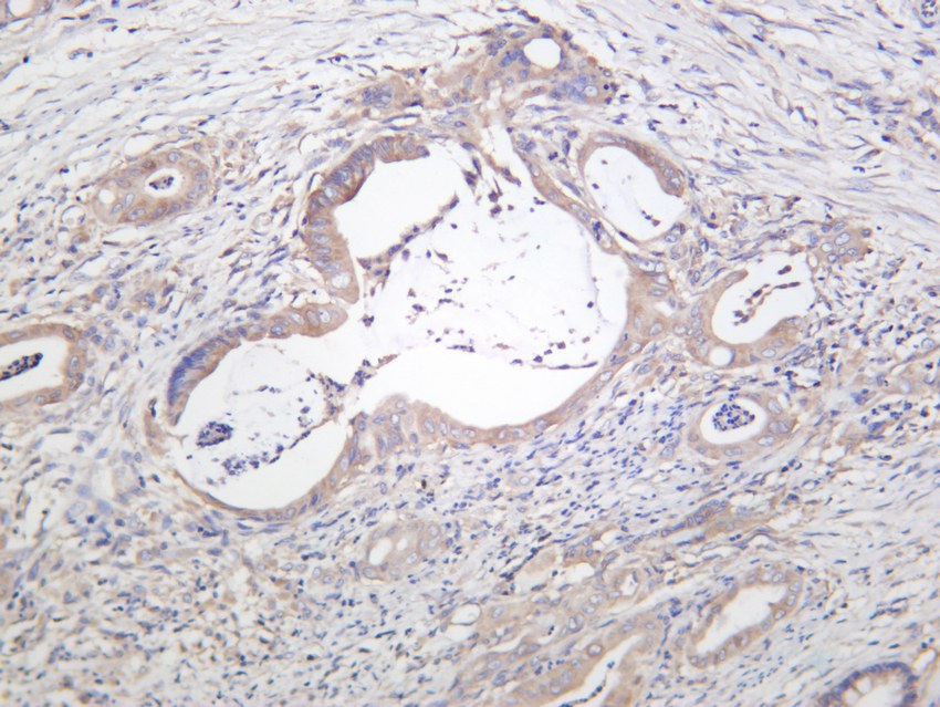
Product information "Anti-Recombinant mTOR, clone 4F10"
The protein encoded by this gene belongs to a family of phosphatidylinositol kinase-related kinases. These kinases mediate cellular responses to stresses such as DNA damage and nutrient deprivation. This protein acts as the target for the cell-cycle arrest and immunosuppressive effects of the FKBP12-rapamycin complex. The ANGPTL7 gene is located in an intron of this gene.
| Keywords: | Anti-MTOR, Anti-Rapamycin target protein 1, Anti-Tyrosine-protein kinase mTOR, Anti-Mammalian target of rapamycin, Anti-Rapamycin and FKBP12 target 1, Anti-Mechanistic target of rapamycin, Anti-Serine/threonine-protein kinase mTOR, Anti-FKBP12-rapamycin c |
| Supplier: | Elabscience |
| Supplier-Nr: | E-AN301363L |
Properties
| Application: | WB |
| Antibody Type: | Monoclonal |
| Clone: | 4F10 |
| Conjugate: | No |
| Host: | Rabbit |
| Species reactivity: | human, mouse, rat |
| Immunogen: | Recombinant Human mTOR protein |
| MW: | 260 kD |
Database Information
| KEGG ID : | K07203 | Matching products |
| UniProt ID : | P42345 | Matching products |
| Gene ID : | GeneID 2475 | Matching products |
Handling & Safety
| Storage: | -20°C |
| Shipping: | -20°C (International: -20°C) |
| Signal Word: | Warning |
| GHS Hazard Pictograms: |
|
| H Phrases: | H317 |
| P Phrases: | P261, P272, P280, P302+352, P333+313 |
Caution
Our products are for laboratory research use only: Not for administration to humans!
Our products are for laboratory research use only: Not for administration to humans!
Information about the product reference will follow.
more
You will get a certificate here
Viewed