Anti-Recombinant MAG, clone A292

Item number Size Datasheet Manual SDS Delivery time Quantity Price
E-AN301593L.50 50 µl -

7 - 16 business days*

304.00€
E-AN301593L.100 100 µl -

7 - 16 business days*

464.00€
 
MAG (Myelin-associated glycoprotein) is a type I transmembrane glycoprotein expressed by Schwann... more
Product information "Anti-Recombinant MAG, clone A292"
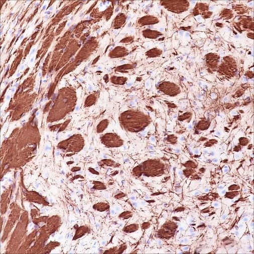
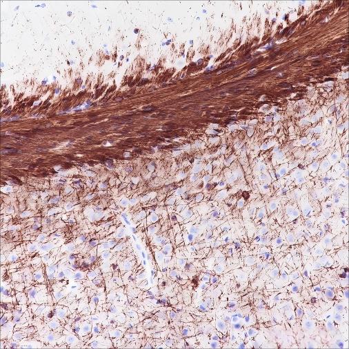
MAG (Myelin-associated glycoprotein) is a type I transmembrane glycoprotein expressed by Schwann cells and oligodendrocytes, that has been implicated in the control of axonal growth in many neuronal populations including cerebellar granule neurons (CGNs).
Keywords: Anti-MAG, Anti-Siglec-4a, Anti-Myelin-associated glycoprotein, Recombinant MAG Monoclonal Antibody
Supplier: Elabscience
Supplier-Nr: E-AN301593L

Properties

Application: WB, IHC
Antibody Type: Monoclonal
Clone: A292
Conjugate: No
Host: Rabbit
Species reactivity: human, rat, mouse
Immunogen: Recombinant human MAG fragment
MW: 100 kD

Handling & Safety

Storage: -20°C
Shipping: -20°C (International: -20°C)
Signal Word: Warning
GHS Hazard Pictograms:
H Phrases: H317
P Phrases: P261, P272, P280, P302+352, P333+313
Caution
Our products are for laboratory research use only: Not for administration to humans!
You will get a certificate here
or to request a certificate of analysis.
Read, write and discuss reviews... more
Customer review for "Anti-Recombinant MAG, clone A292"
Write a review
or to review a product.
Viewed