Cookie preferences
This website uses cookies, which are necessary for the technical operation of the website and are always set. Other cookies, which increase the comfort when using this website, are used for direct advertising or to facilitate interaction with other websites and social networks, are only set with your consent.
Configuration
Technically required
These cookies are necessary for the basic functions of the shop.
"Allow all cookies" cookie
"Decline all cookies" cookie
CSRF token
Cookie preferences
Currency change
Customer-specific caching
FACT-Finder tracking
Individual prices
Selected shop
Session
Comfort functions
These cookies are used to make the shopping experience even more appealing, for example for the recognition of the visitor.
Note
Show the facebook fanpage in the right blod sidebar
Statistics & Tracking
Affiliate program
Conversion and usertracking via Google Tag Manager
Track device being used
| Item number | Size | Datasheet | Manual | SDS | Delivery time | Quantity | Price |
|---|---|---|---|---|---|---|---|
| E-AN301578L.50 | 50 µl | - |
7 - 16 business days* |
304.00€
|
|||
| E-AN301578L.100 | 100 µl | - |
7 - 16 business days* |
464.00€
|
If you have any questions, please use our Contact Form.
You can also order by e-mail: info@biomol.com
Larger quantity required? Request bulk
You can also order by e-mail: info@biomol.com
Larger quantity required? Request bulk
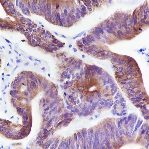
Keratin (cytokeratin) is an intermediate filament protein, which is mainly expressed in... more
Product information "Anti-Recombinant Keratin 20, clone A277"
Keratin (cytokeratin) is an intermediate filament protein, which is mainly expressed in epithelial cells such as gastric epithelium and intestinal epithelium. Keratin heterodimers composed of acidic keratin (or type I keratin, keratin 9 to 23) and basic keratin (or type II keratin, keratin 1 to 8) assemble to form filaments. Keratin isoforms exhibit tissue- and differentiation-specific characteristics, making them useful as research biomarkers. Studies have shown that mutations in the keratin gene are related to skin diseases, liver and pancreatic diseases, and inflammatory bowel disease. Therefore, cytokeratin can be used as a tumor immunohistochemical marker.Keratin 20 (CK-20) is an essential intermediate filament component and the main cytoskeleton keratin of the intestinal epithelium. Studies have shown that keratin 20 is an important marker for colon cancer, liver cancer, and stomach cancer.
| Keywords: | Anti-KRT20, Anti-Protein IT, Anti-Keratin-20, Anti-Cytokeratin-20, Anti-Keratin, type I cytoskeletal 20, Recombinant Keratin 20 Monoclonal Antibody |
| Supplier: | Elabscience |
| Supplier-Nr: | E-AN301578L |
Properties
| Application: | WB, IHC, IF, FCM |
| Antibody Type: | Monoclonal |
| Clone: | A277 |
| Conjugate: | No |
| Host: | Rabbit |
| Species reactivity: | human, rat, mouse |
| Immunogen: | Recombinant human Keratin 20 fragment |
| MW: | 48 kD |
Database Information
| KEGG ID : | K07604 | Matching products |
| UniProt ID : | P35900 | Matching products |
| Gene ID : | GeneID 54474 | Matching products |
Handling & Safety
| Storage: | -20°C |
| Shipping: | -20°C (International: -20°C) |
| Signal Word: | Warning |
| GHS Hazard Pictograms: |
|
| H Phrases: | H317 |
| P Phrases: | P261, P272, P280, P302+352, P333+313 |
Caution
Our products are for laboratory research use only: Not for administration to humans!
Our products are for laboratory research use only: Not for administration to humans!
Information about the product reference will follow.
more
You will get a certificate here
Viewed