Cookie preferences
This website uses cookies, which are necessary for the technical operation of the website and are always set. Other cookies, which increase the comfort when using this website, are used for direct advertising or to facilitate interaction with other websites and social networks, are only set with your consent.
Configuration
Technically required
These cookies are necessary for the basic functions of the shop.
"Allow all cookies" cookie
"Decline all cookies" cookie
CSRF token
Cookie preferences
Currency change
Customer-specific caching
FACT-Finder tracking
Individual prices
Selected shop
Session
Comfort functions
These cookies are used to make the shopping experience even more appealing, for example for the recognition of the visitor.
Note
Show the facebook fanpage in the right blod sidebar
Statistics & Tracking
Affiliate program
Conversion and usertracking via Google Tag Manager
Track device being used
| Item number | Size | Datasheet | Manual | SDS | Delivery time | Quantity | Price |
|---|---|---|---|---|---|---|---|
| E-AN301708L.50 | 50 µl | - |
7 - 16 business days* |
304.00€
|
|||
| E-AN301708L.100 | 100 µl | - |
7 - 16 business days* |
464.00€
|
If you have any questions, please use our Contact Form.
You can also order by e-mail: info@biomol.com
Larger quantity required? Request bulk
You can also order by e-mail: info@biomol.com
Larger quantity required? Request bulk
Histones are a family of basic proteins that form the core of the nucleosome - the fundamental... more
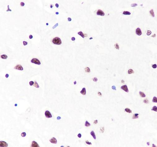
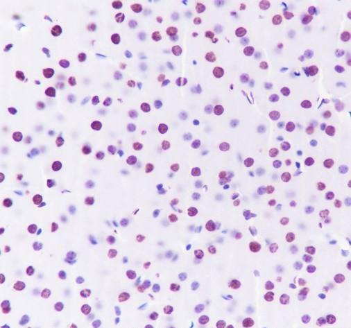
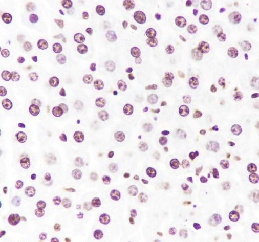
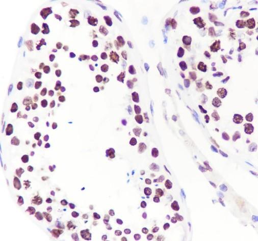
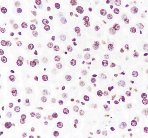
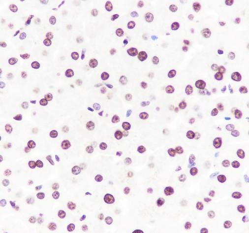
Product information "Anti-Recombinant Histone H3 (CT), clone A416"
Histones are a family of basic proteins that form the core of the nucleosome - the fundamental structural unit of chromatin. In a single nucleosome, core histone proteins H2A, H2B, H3, and H4 form an octamer around which the DNA is tightly wrapped. Histone proteins not only serve to compact chromosomal DNA but also play vital roles in the dynamic and long-term regulation of genes by a wide variety of post-translational modifications (PTMs). These PTMs including acetylation, methylation, phosphorylation, and novel acylations directly affect the accessibility of chromatin to transcription factors and other epigenetic regulators, altering genome stability and gene transcription. Among the histone members, histone H3 is the most extensively modified and its amino-terminal tail structure has been shown to be especially critical for eukaryotic cells.
| Keywords: | Anti-H3C2, Anti-H3C7, Anti-H3C4, Anti-H3C1, Anti-H3C6, Anti-H3C8, Anti-H3C3, Anti-H3C12, Anti-H3C11, Anti-H3C10, Anti-Histone H3/j, Anti-Histone H3/l, Anti-Histone H3/b, Anti-Histone H3.1, Anti-Histone H3/c, Anti-Histone H3/f, Anti-Histone H3/i, Anti-Hist |
| Supplier: | Elabscience |
| Supplier-Nr: | E-AN301708L |
Properties
| Application: | IHC, IF, WB |
| Antibody Type: | Monoclonal |
| Clone: | A416 |
| Conjugate: | No |
| Host: | Rabbit |
| Species reactivity: | human, rat, mouse, rice |
| Immunogen: | Synthetic peptide corresponding to the C-terminus of human histone H3 protein |
| MW: | 15 kD |
Database Information
| KEGG ID : | K11253 | Matching products |
| UniProt ID : | P68431 | Matching products |
| Gene ID : | GeneID 8350 | Matching products |
Handling & Safety
| Storage: | -20°C |
| Shipping: | -20°C (International: -20°C) |
| Signal Word: | Warning |
| GHS Hazard Pictograms: |
|
| H Phrases: | H317 |
| P Phrases: | P261, P272, P280, P302+352, P333+313 |
Caution
Our products are for laboratory research use only: Not for administration to humans!
Our products are for laboratory research use only: Not for administration to humans!
Information about the product reference will follow.
more
You will get a certificate here
Viewed