Cookie preferences
This website uses cookies, which are necessary for the technical operation of the website and are always set. Other cookies, which increase the comfort when using this website, are used for direct advertising or to facilitate interaction with other websites and social networks, are only set with your consent.
Configuration
Technically required
These cookies are necessary for the basic functions of the shop.
"Allow all cookies" cookie
"Decline all cookies" cookie
CSRF token
Cookie preferences
Currency change
Customer-specific caching
FACT-Finder tracking
Individual prices
Selected shop
Session
Comfort functions
These cookies are used to make the shopping experience even more appealing, for example for the recognition of the visitor.
Note
Show the facebook fanpage in the right blod sidebar
Statistics & Tracking
Affiliate program
Conversion and usertracking via Google Tag Manager
Track device being used
| Item number | Size | Datasheet | Manual | SDS | Delivery time | Quantity | Price |
|---|---|---|---|---|---|---|---|
| E-AN301413L.50 | 50 µl | - |
7 - 16 business days* |
304.00€
|
|||
| E-AN301413L.100 | 100 µl | - |
7 - 16 business days* |
464.00€
|
If you have any questions, please use our Contact Form.
You can also order by e-mail: info@biomol.com
Larger quantity required? Request bulk
You can also order by e-mail: info@biomol.com
Larger quantity required? Request bulk
Histone post-translational modifications (PTMs), known as the "histone code", are key mechanisms... more
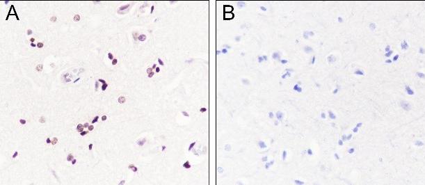
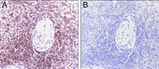
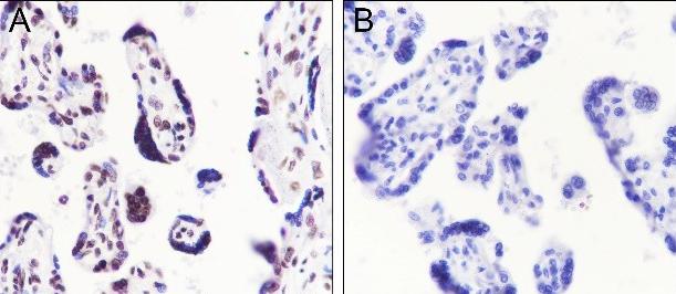
Product information "Anti-Recombinant Histone H3 (Acetyl Lys64), clone A108"
Histone post-translational modifications (PTMs), known as the "histone code", are key mechanisms of epigenetics that modulate chromatin structures. The PTMs on histone including acetylation, methylation, phosphorylation, and novel acylations directly affect the accessibility of chromatin to transcription factors and other epigenetic regulators, altering genome stability and gene transcription. Histone acetylation, tightly controlled by the opposing action of histone acetyltransferases (HATs) and histone deacetylases (HDACs), occurs primarily at lysine residues on the N-terminal tails of histones H2A (Lys5, 9, and 15), H2B (Lys5, 12, 15, 16, and 20), H3 (Lys4, 9, 14, 18, 23, 27, and 36), and H4 (Lys5, 8, 12, 16, and 20), and plays vital roles in the regulation of gene expression, DNA damage repair, chromatin dynamics, etc.
| Keywords: | Anti-H3C2, Anti-H3C7, Anti-H3C4, Anti-H3C1, Anti-H3C6, Anti-H3C8, Anti-H3C3, Anti-H3C12, Anti-H3C11, Anti-H3C10, Anti-Histone H3/j, Anti-Histone H3/l, Anti-Histone H3/b, Anti-Histone H3.1, Anti-Histone H3/c, Anti-Histone H3/f, Anti-Histone H3/i, Anti-Hist |
| Supplier: | Elabscience |
| Supplier-Nr: | E-AN301413L |
Properties
| Application: | WB, IHC, ChIP |
| Antibody Type: | Monoclonal |
| Clone: | A108 |
| Conjugate: | No |
| Host: | Rabbit |
| Species reactivity: | human, rat, mouse |
| Immunogen: | Acetylated human histone H3 (Lys64) peptide |
| MW: | 15 kD |
Database Information
| KEGG ID : | K11253 | Matching products |
| UniProt ID : | P68431 | Matching products |
| Gene ID : | GeneID 8350 | Matching products |
Handling & Safety
| Storage: | -20°C |
| Shipping: | -20°C (International: -20°C) |
| Signal Word: | Warning |
| GHS Hazard Pictograms: |
|
| H Phrases: | H317 |
| P Phrases: | P261, P272, P280, P302+352, P333+313 |
Caution
Our products are for laboratory research use only: Not for administration to humans!
Our products are for laboratory research use only: Not for administration to humans!
Information about the product reference will follow.
more
You will get a certificate here
Viewed