Cookie preferences
This website uses cookies, which are necessary for the technical operation of the website and are always set. Other cookies, which increase the comfort when using this website, are used for direct advertising or to facilitate interaction with other websites and social networks, are only set with your consent.
Configuration
Technically required
These cookies are necessary for the basic functions of the shop.
"Allow all cookies" cookie
"Decline all cookies" cookie
CSRF token
Cookie preferences
Currency change
Customer-specific caching
FACT-Finder tracking
Individual prices
Selected shop
Session
Comfort functions
These cookies are used to make the shopping experience even more appealing, for example for the recognition of the visitor.
Note
Show the facebook fanpage in the right blod sidebar
Statistics & Tracking
Affiliate program
Conversion and usertracking via Google Tag Manager
Track device being used
| Item number | Size | Datasheet | Manual | SDS | Delivery time | Quantity | Price |
|---|---|---|---|---|---|---|---|
| E-AN301872L.50 | 50 µl | - |
7 - 16 business days* |
304.00€
|
|||
| E-AN301872L.100 | 100 µl | - |
7 - 16 business days* |
464.00€
|
If you have any questions, please use our Contact Form.
You can also order by e-mail: info@biomol.com
Larger quantity required? Request bulk
You can also order by e-mail: info@biomol.com
Larger quantity required? Request bulk
HER4/ErbB4, like other receptor tyrosine kinase family members, has four ectodomains, a single... more
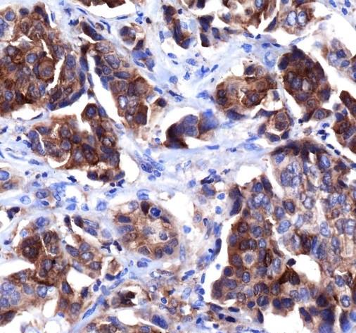
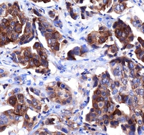
Product information "Anti-Recombinant HER4/ErbB4, clone A584"
HER4/ErbB4, like other receptor tyrosine kinase family members, has four ectodomains, a single transmembrane domain and a cytoplasmic tail containing the active tyrosine kinase domain. By binding to neuregulins and/or EGF family ligands, ErbB4 forms either a homodimer or heterodimer with other ErbB family members, which results in receptor activation and signaling. ErbB4 is ubiquitously expressed with the highest expression occurring in brain and heart. The expression of ErbB4 in breast cancer, pediatric brain cancer and other types of carcinomas has been reported in research studies suggesting that ErbB4 expression is involved in both normal tissue development and carcinogenesis.
| Keywords: | Anti-ERBB4, Anti-p180erbB4, Anti-Proto-oncogene-like protein c-ErbB-4, Anti-Receptor tyrosine-protein kinase erbB-4, Anti-Tyrosine kinase-type cell surface receptor HER4, Recombinant HER4/ErbB4 Monoclonal Antibody |
| Supplier: | Elabscience |
| Supplier-Nr: | E-AN301872L |
Properties
| Application: | IHC, IF |
| Antibody Type: | Monoclonal |
| Clone: | A584 |
| Conjugate: | No |
| Host: | Rabbit |
| Species reactivity: | human |
| Immunogen: | Recombinant human HER4/ErbB4 fragment |
Database Information
| KEGG ID : | K05085 | Matching products |
| UniProt ID : | Q15303 | Matching products |
| Gene ID : | GeneID 2066 | Matching products |
Handling & Safety
| Storage: | -20°C |
| Shipping: | -20°C (International: -20°C) |
| Signal Word: | Warning |
| GHS Hazard Pictograms: |
|
| H Phrases: | H317 |
| P Phrases: | P261, P272, P280, P302+352, P333+313 |
Caution
Our products are for laboratory research use only: Not for administration to humans!
Our products are for laboratory research use only: Not for administration to humans!
Information about the product reference will follow.
more
You will get a certificate here
Viewed