Cookie preferences
This website uses cookies, which are necessary for the technical operation of the website and are always set. Other cookies, which increase the comfort when using this website, are used for direct advertising or to facilitate interaction with other websites and social networks, are only set with your consent.
Configuration
Technically required
These cookies are necessary for the basic functions of the shop.
"Allow all cookies" cookie
"Decline all cookies" cookie
CSRF token
Cookie preferences
Currency change
Customer-specific caching
FACT-Finder tracking
Individual prices
Selected shop
Session
Comfort functions
These cookies are used to make the shopping experience even more appealing, for example for the recognition of the visitor.
Note
Show the facebook fanpage in the right blod sidebar
Statistics & Tracking
Affiliate program
Conversion and usertracking via Google Tag Manager
Track device being used
| Item number | Size | Datasheet | Manual | SDS | Delivery time | Quantity | Price |
|---|---|---|---|---|---|---|---|
| E-AN301865L.50 | 50 µl | - |
7 - 16 business days* |
304.00€
|
|||
| E-AN301865L.100 | 100 µl | - |
7 - 16 business days* |
464.00€
|
If you have any questions, please use our Contact Form.
You can also order by e-mail: info@biomol.com
Larger quantity required? Request bulk
You can also order by e-mail: info@biomol.com
Larger quantity required? Request bulk
Glypican 3 belongs to Glypicans (GPCs), a family of glycosylphosphatidylinositol (GPI)-anchored... more
Product information "Anti-Recombinant Glypican-3, clone A577"
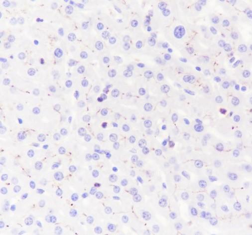
Glypican 3 belongs to Glypicans (GPCs), a family of glycosylphosphatidylinositol (GPI)-anchored heparan sulphate proteoglycans (HSPGs) that may play a role in the control of cell division and growth regulation. In mammals, there are six GPCs (GPC1 to GPC6), all of which have a similar core-protein size of approx. 60 kDa and the clustering of glycosaminoglycan attachment site near the C-terminus. They are tethered to the cell surface by GPI linkages, which can be cleaved by endogenous phospholipases, thus releasing the protein. Glypican 3 (GPC3) is highly expressed in many tissues during development and plays an important role in the regulation of embryonic growth. Loss-of-function mutations of GPC3 result in the Simpson-Golabi-Behmel overgrowth syndrome (SGBS), and Gpc-3 null mice display developmental overgrowth. In hepatocellular carcinoma (HCC), the overexpression of glypican 3 has been demonstrated to be a reliable diagnostic indicator.
| Keywords: | Anti-MXR7, Anti-GPC3, Anti-GTR2-2, Anti-Glypican-3, Anti-Intestinal protein OCI-5, Recombinant Glypican-3 Monoclonal Antibody |
| Supplier: | Elabscience |
| Supplier-Nr: | E-AN301865L |
Properties
| Application: | WB, IHC, IF |
| Antibody Type: | Monoclonal |
| Clone: | A577 |
| Conjugate: | No |
| Host: | Rabbit |
| Species reactivity: | human |
| Immunogen: | Recombinant human Glypican-3 fragment |
| MW: | 15, 70 kD |
Database Information
| KEGG ID : | K08109 | Matching products |
| UniProt ID : | P51654 | Matching products |
| Gene ID : | GeneID 2719 | Matching products |
Handling & Safety
| Storage: | -20°C |
| Shipping: | -20°C (International: -20°C) |
| Signal Word: | Warning |
| GHS Hazard Pictograms: |
|
| H Phrases: | H317 |
| P Phrases: | P261, P272, P280, P302+352, P333+313 |
Caution
Our products are for laboratory research use only: Not for administration to humans!
Our products are for laboratory research use only: Not for administration to humans!
Information about the product reference will follow.
more
You will get a certificate here
Viewed